Перелом надколенника
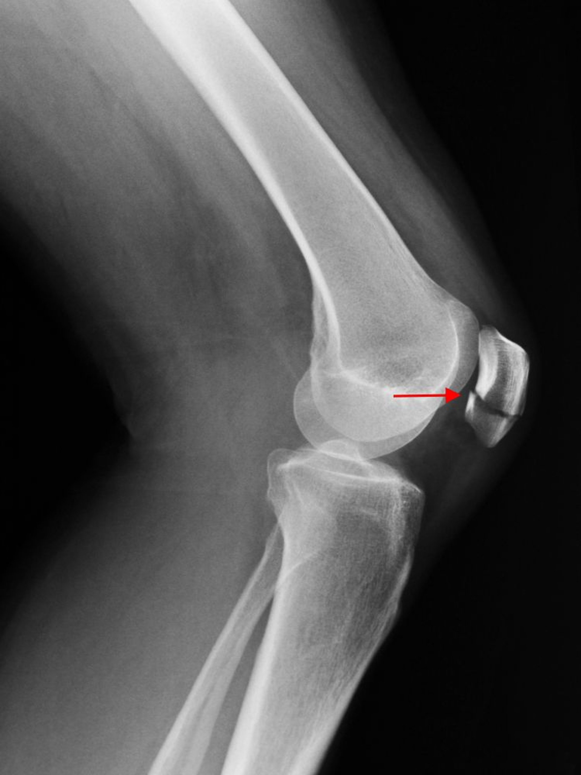
Рентген коленного сустава в боковой проекции показывает поперечный перелом надколенника (стрелка).
SCOTT CAMAZINE/SCIENCE PHOTO LIBRARY
Рентген коленного сустава в боковой проекции показывает поперечный перелом надколенника (стрелка).
SCOTT CAMAZINE/SCIENCE PHOTO LIBRARY