Пародонтит (потеря поддерживающей тканей зуба)
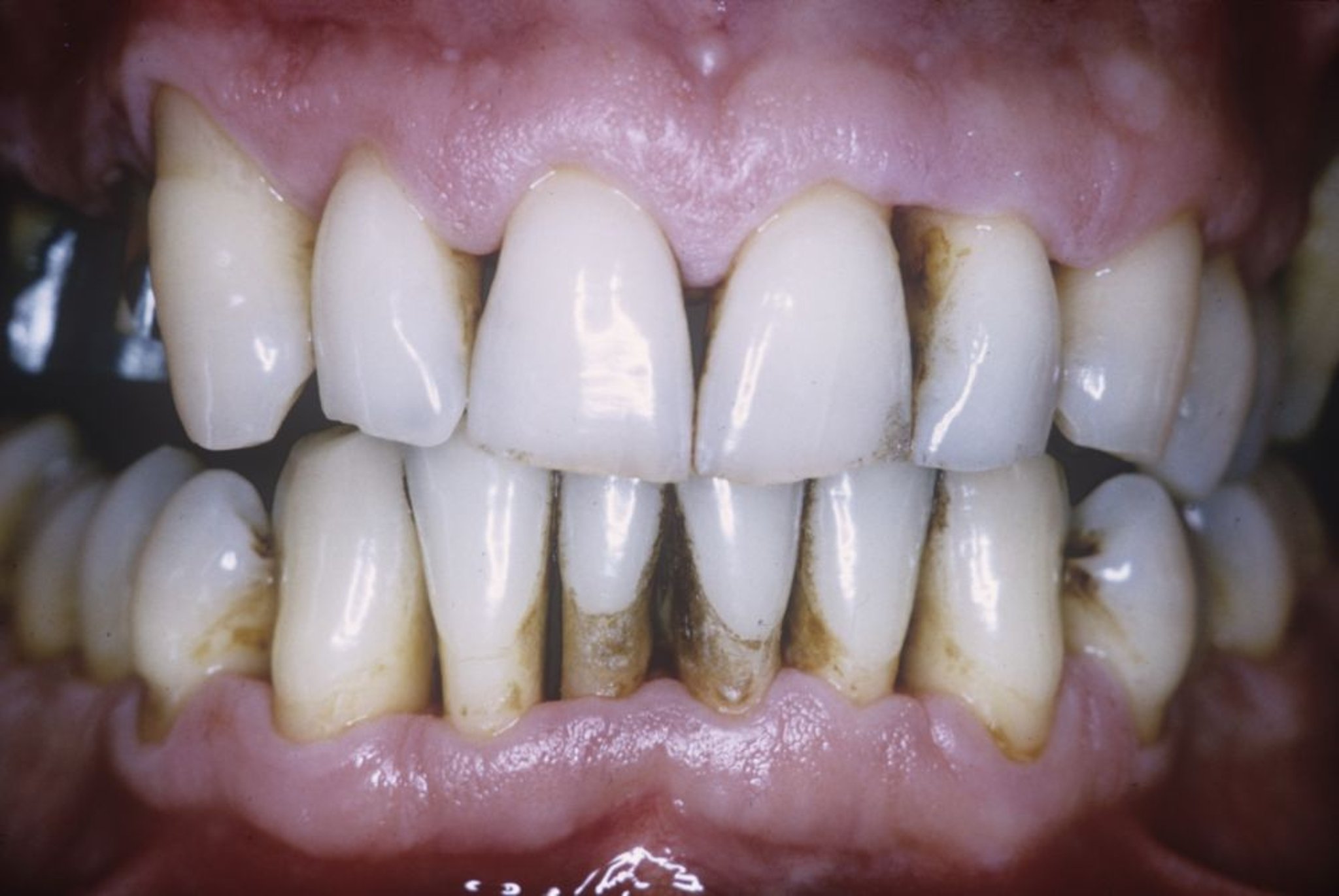
На этой фотографии крупным планом показана потеря тканей у человека, страдающего пародонтитом. Пародонтит является причиной потери тканей десны и кости вокруг зубов.
Dr. W. GREEN/CNRI/SCIENCE PHOTO LIBRARY
По этим темам
