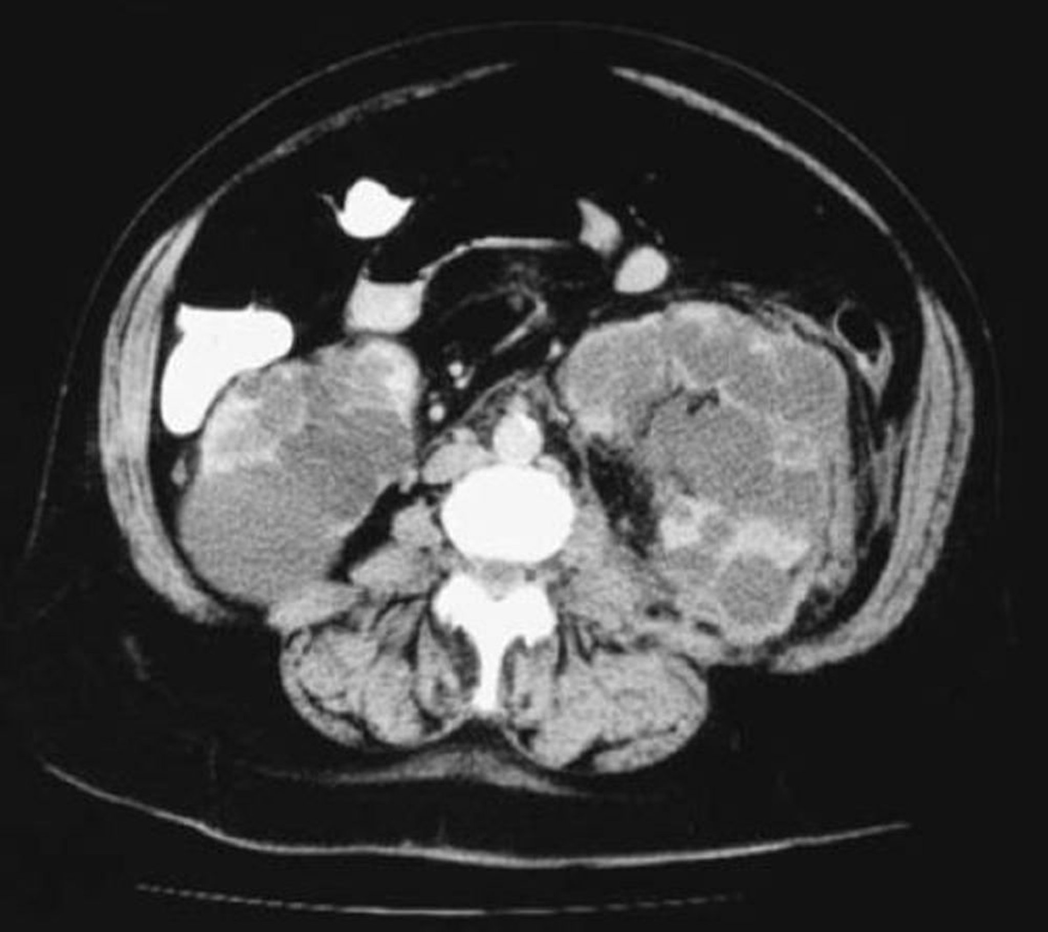
Осевая проекция КТ при поликистозе почек
Эта КТ почек показывает многочисленные кисты различных размеров. Почечной паренхимы почти не осталось.
© Springer Science+Business Media
Эта КТ почек показывает многочисленные кисты различных размеров. Почечной паренхимы почти не осталось.
© Springer Science+Business Media