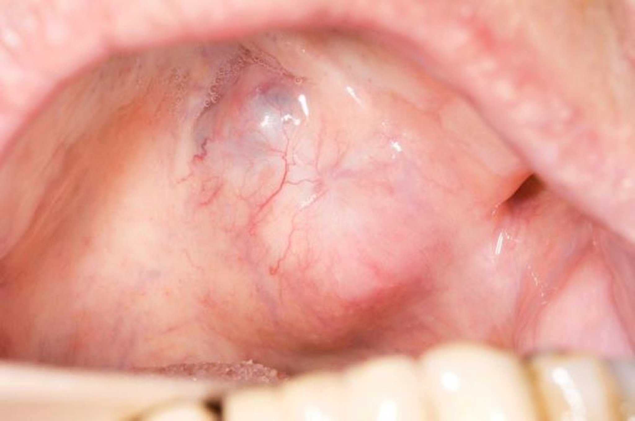
Нёбная смешанная опухоль слюнной железы
Плеоморфная аденома является наиболее распространенным доброкачественным внутриротовым новообразованием. Наиболее часто процесс локализуется на слизистой оболочке твердого неба.
DR. P. MARAZZI/SCIENCE PHOTO LIBRARY
По этим темам
