Метастазы в головной мозг
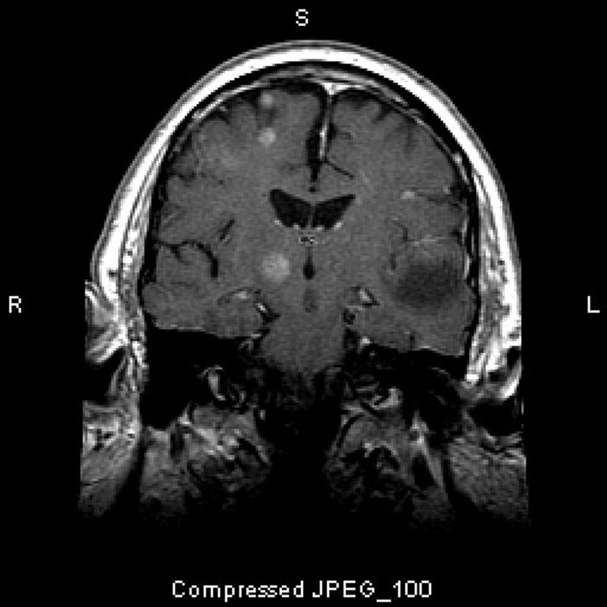
Этот снимок МРТ показывает множественные поражения головного мозга, представляющие собой метастатические опухоли. Более 80% метастазов в мозг – множественные.
Image courtesy of William R. Shapiro, MD.
По этим темам
Этот снимок МРТ показывает множественные поражения головного мозга, представляющие собой метастатические опухоли. Более 80% метастазов в мозг – множественные.
Image courtesy of William R. Shapiro, MD.