Мелореостоз (вид капающего воска свечи)
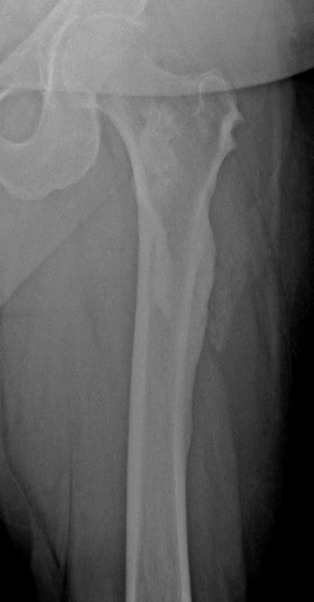
На данной рентгенограмме представлен характерный для мелореостоза вид в форме «стекающего воска свечи» в области бедренной кости; он особенно выражен на латеральной кортикальной поверхности бедра.
Image courtesy of Michael J. Joyce, MD, and David M. Joyce, MD.
По этим темам
