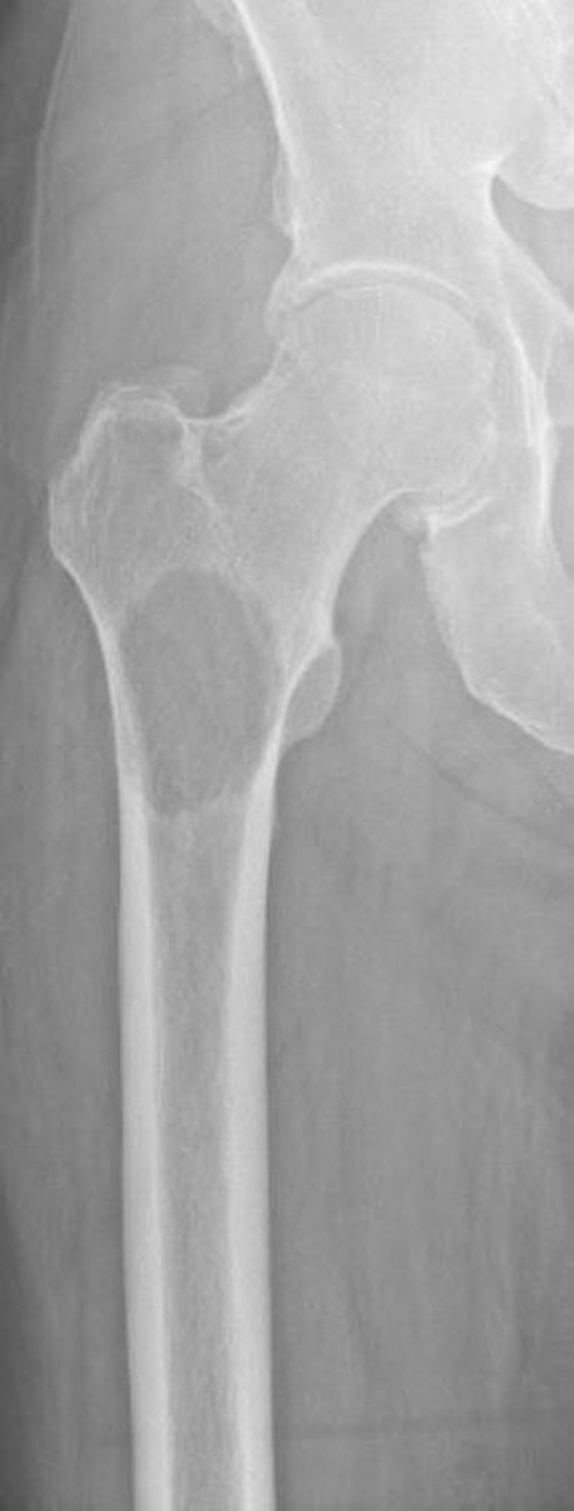
Литические метастазы в проксимальной части бедренной кости
Это изображение показывает костную деструкцию в проксимальном отделе бедренной кости вследствие метастазов, вторичных по отношению к почечно-клеточному раку. Локализация и степень деструкции кости делают риск перелома чрезвычайно высоким (неизбежный перелом).
Image courtesy of Michael J. Joyce, MD, and David M. Joyce, MD.
По этим темам
