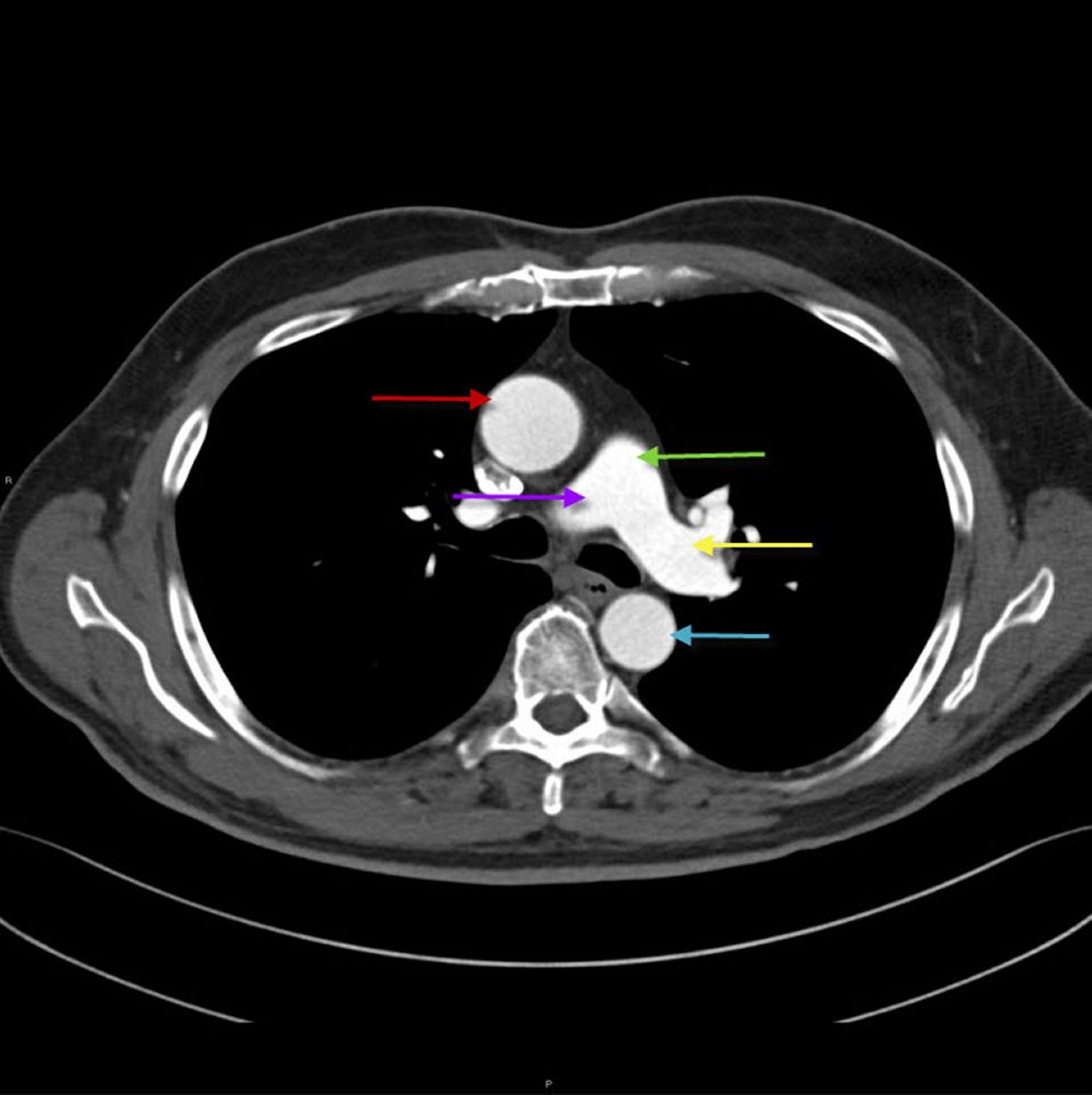
КТ грудной клетки, показывающая анатомическое строение аорты и легочной артерии
Данное изображение показывает восходящий отдел грудной аорты (красная стрелка) и ее нисходящий отдел (синяя стрелка). Легочной ствол (зеленая стрелка) делится на правую (фиолетовая стрелка) и левую (желтая стрелка) легочную артерию.
© 2017 Elliot K. Fishman, MD.
По этим темам
