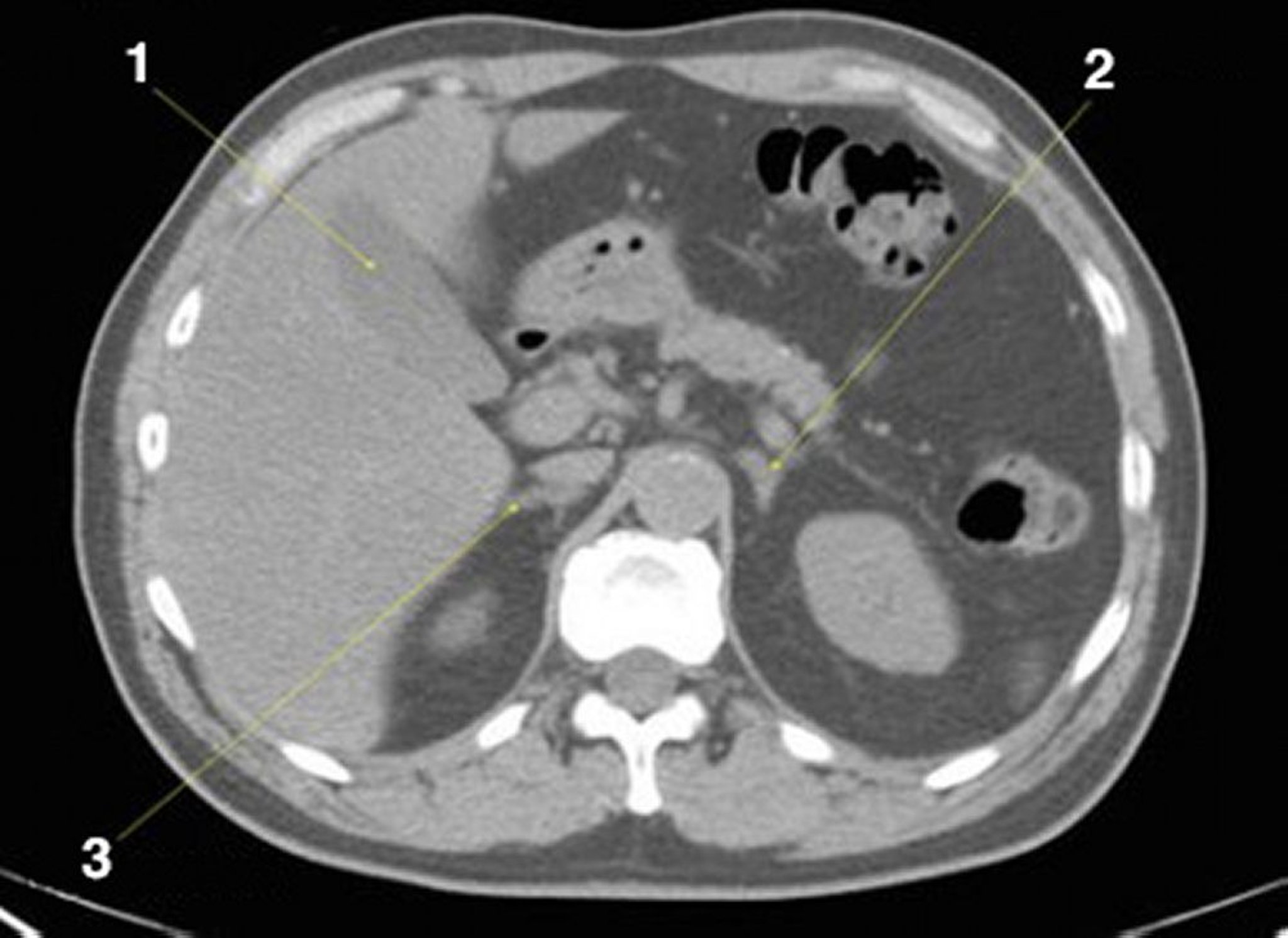
КТ брюшной полости и таза без контраста, демонстрирующая нормальную анатомию (слайд 8)
1 = желчный пузырь; 2 = левый надпочечник; 3 = правый надпочечник.
© Springer Science+Business Media
1 = желчный пузырь; 2 = левый надпочечник; 3 = правый надпочечник.
© Springer Science+Business Media