honeypot link
skip to main content
MSDСправочник MsdПрофессиональная версия
РАЗДЕЛЫ МЕДИЦИНЫИСТОЧНИКИКОММЕНТАРИИОПРОСЫО НАС
homeРАЗДЕЛЫ МЕДИЦИНЫ
Search icon
  1. Профессиональная/
  2. Изображения/
  3. КТ брюшной полости и таза без контраста, демонстрирующая нормальную анатомию (слайд 5)/
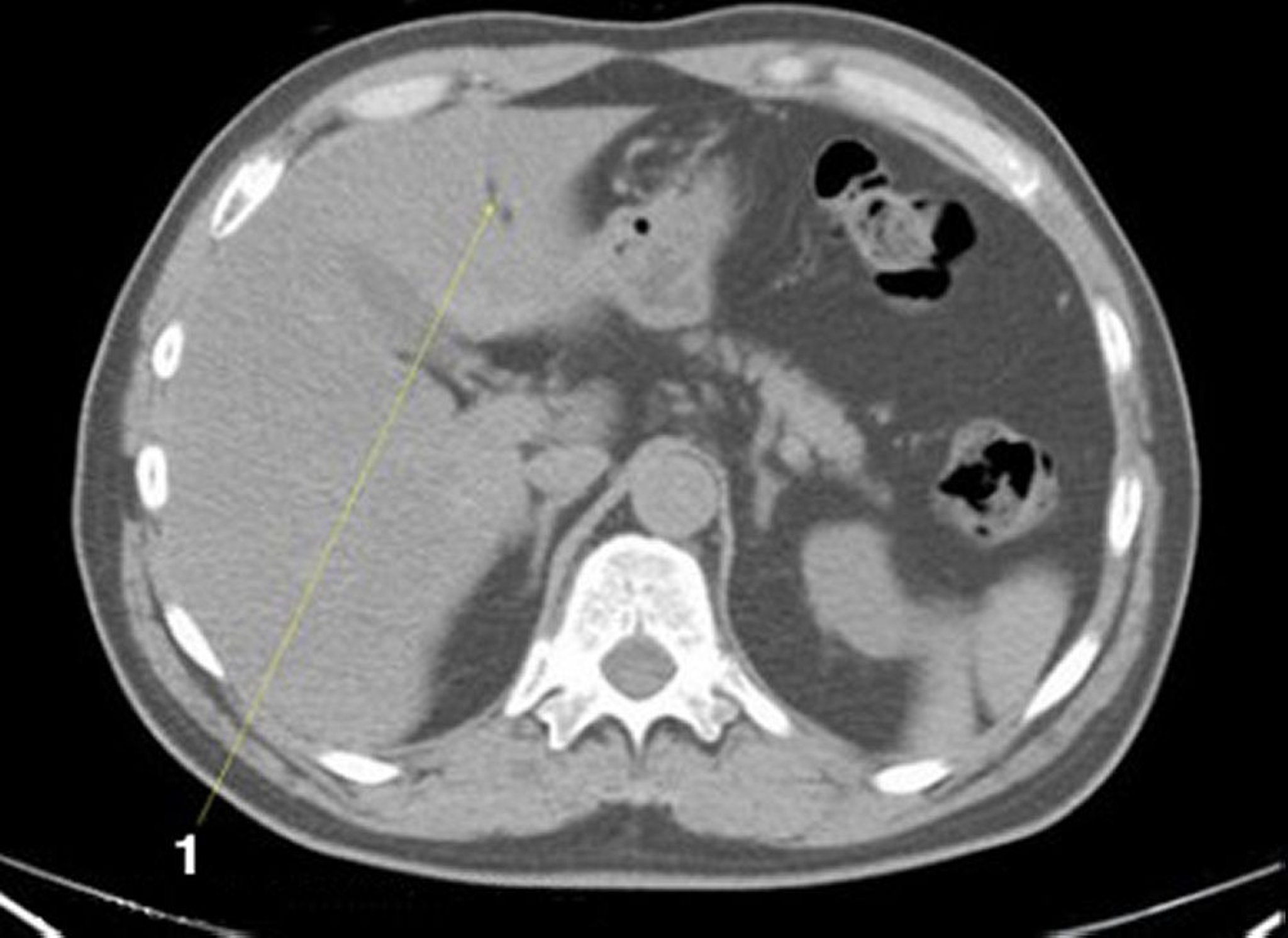
    КТ брюшной полости и таза без контраста, демонстрирующая нормальную анатомию (слайд 5)

    КТ брюшной полости и таза без контраста, демонстрирующая нормальную анатомию (слайд 5)

    1 = щель круглой связки.

    © Springer Science+Business Media

    По этим темам
    • Обследование пациентов с гастроэнтерологическими заболеваниями >
    MSD
    • О нас
    • Юридическая оговорка
    • Разрешение
    • Конфиденциальность
    • Cookie Preferences
    • Условия использования
    • Лицензирование
    • Обратитесь к нам
    • Справочник по ветеринарии (только на английском языке)
    This icon serves as a link to download the eSSENTIAL Accessibility assistive technology app for individuals with physical disabilities. It is featured as part of our commitment to diversity and inclusion.
    This icon serves as a link to download the eSSENTIAL Accessibility assistive technology app for individuals with physical disabilities. It is featured as part of our commitment to diversity and inclusion.
    MSD

    Авторское право© 2025Merck & Co., Inc., Rahway, NJ, США и ее аффилированные лица. Все права сохранены.