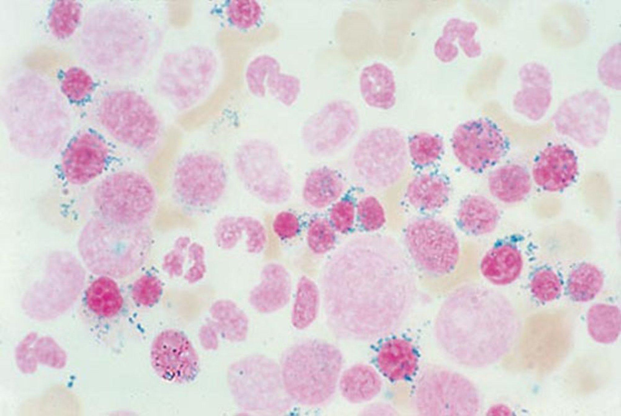
Кольцевидные сидеробласты при сидеробластной анемии
При сидеробластной анемии в костном мозге наблюдаются кольцевидные сидеробласты (стрелка). Кольцевидные сидеробласты являются эритроидными предшественниками, и их митохондрии, размещенные вокруг ядра, содержат негемоглобиновое железо.
By permission of the publisher. From Tefferi A, Li C. In Atlas of Clinical Hematology. Edited by JO Armitage. Philadelphia, Current Medicine, 2004.
По этим темам
