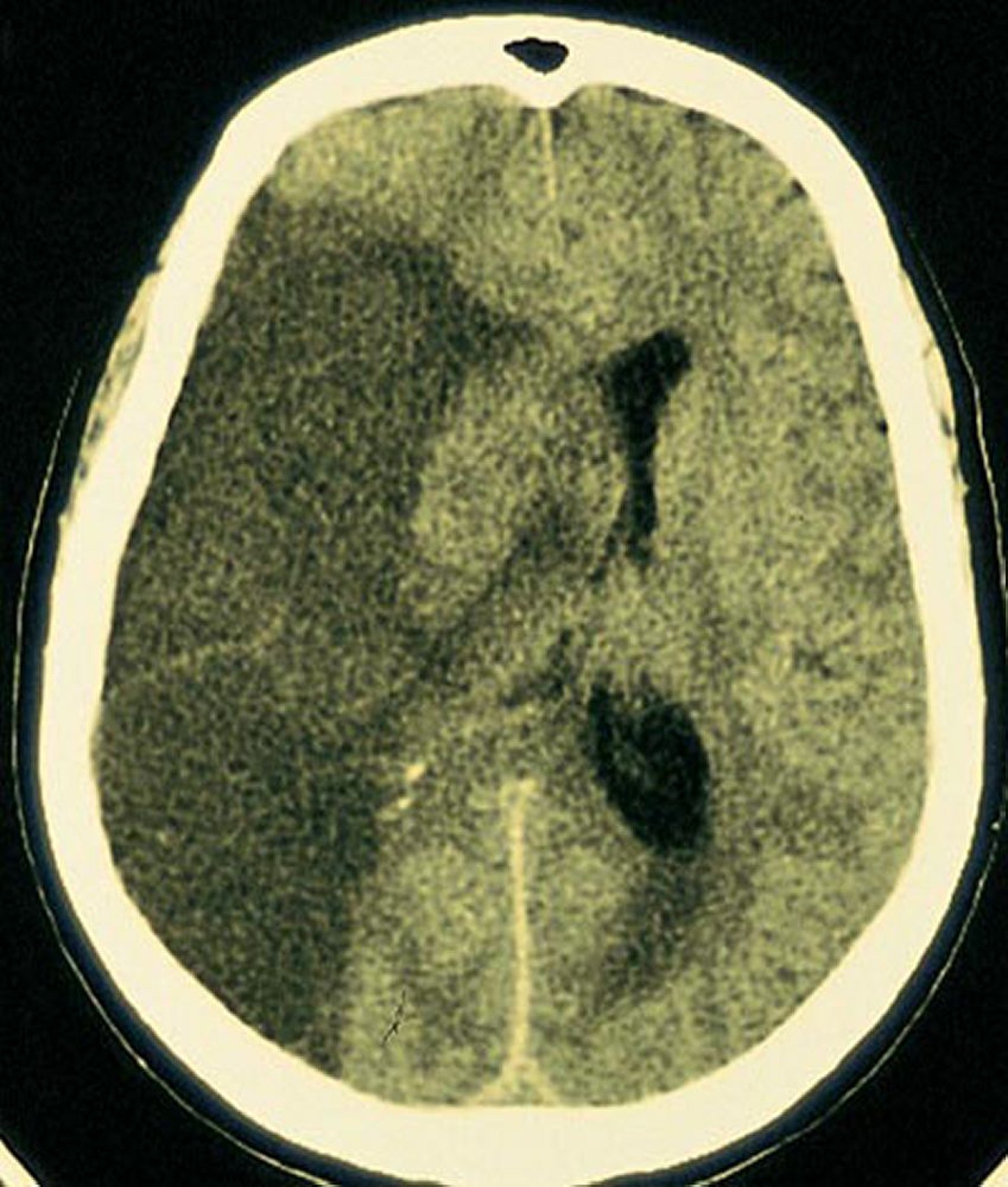
Инфаркт средней мозговой артерии
В области головного мозга, снабжаемого правой средней мозговой артерией, виден большой светлый очаг инфаркта.
By permission of the publisher. From Furie K, et al: Cerebrovascular disease. In Atlas of Clinical Neurology. Edited by RN Rosenberg. Philadelphia, Current Medicine, 2002.
По этим темам
