Диабетическая ретинопатия (непролиферативная)
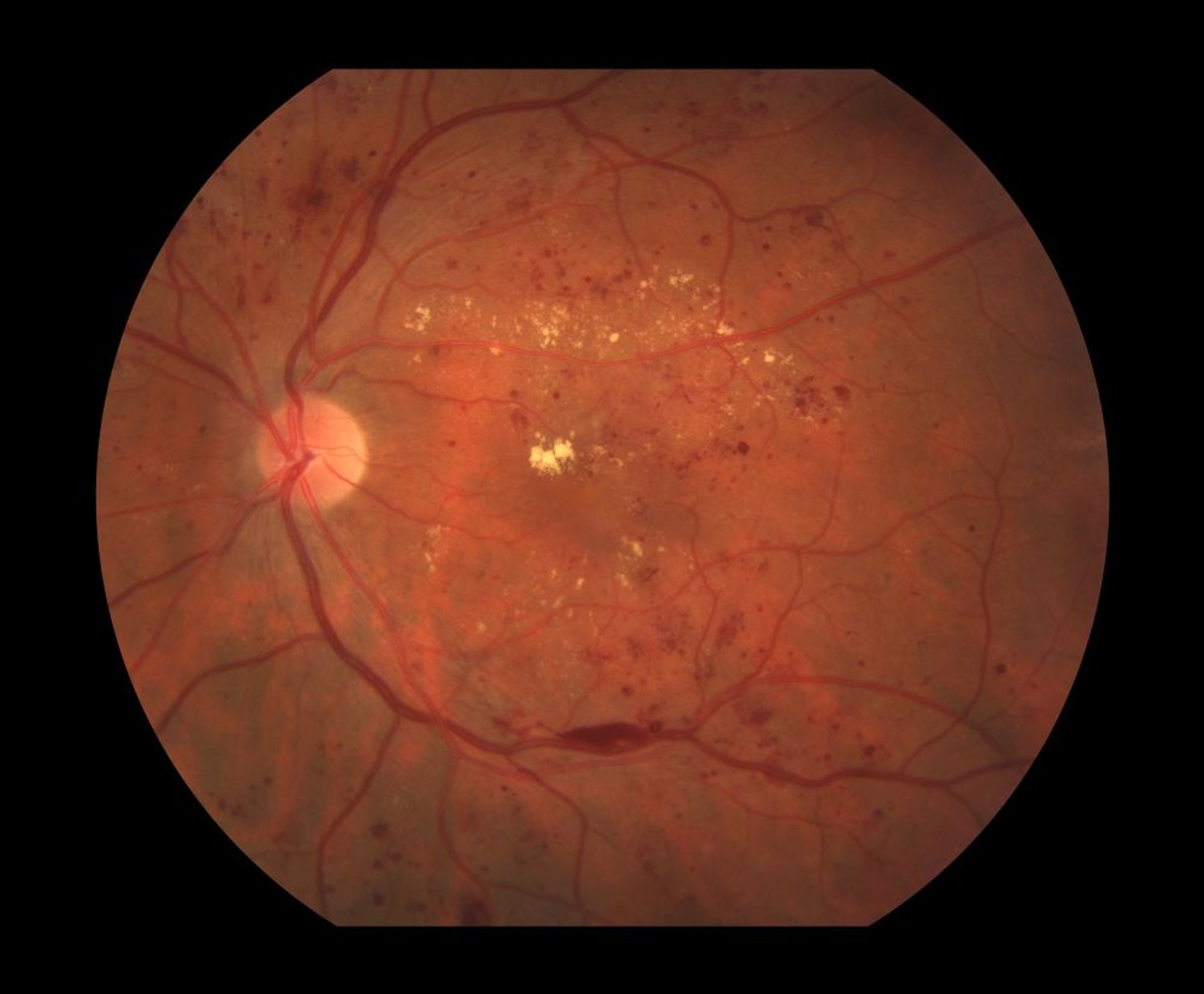
Изменения глазного дна при непролиферативной диабетической ретинопатии включают кровоизлияния в сетчатку и твердые экссудаты (желтые пятна).
Paul Whitten/SCIENCE PHOTO LIBRARY
По этим темам
Изменения глазного дна при непролиферативной диабетической ретинопатии включают кровоизлияния в сетчатку и твердые экссудаты (желтые пятна).
Paul Whitten/SCIENCE PHOTO LIBRARY