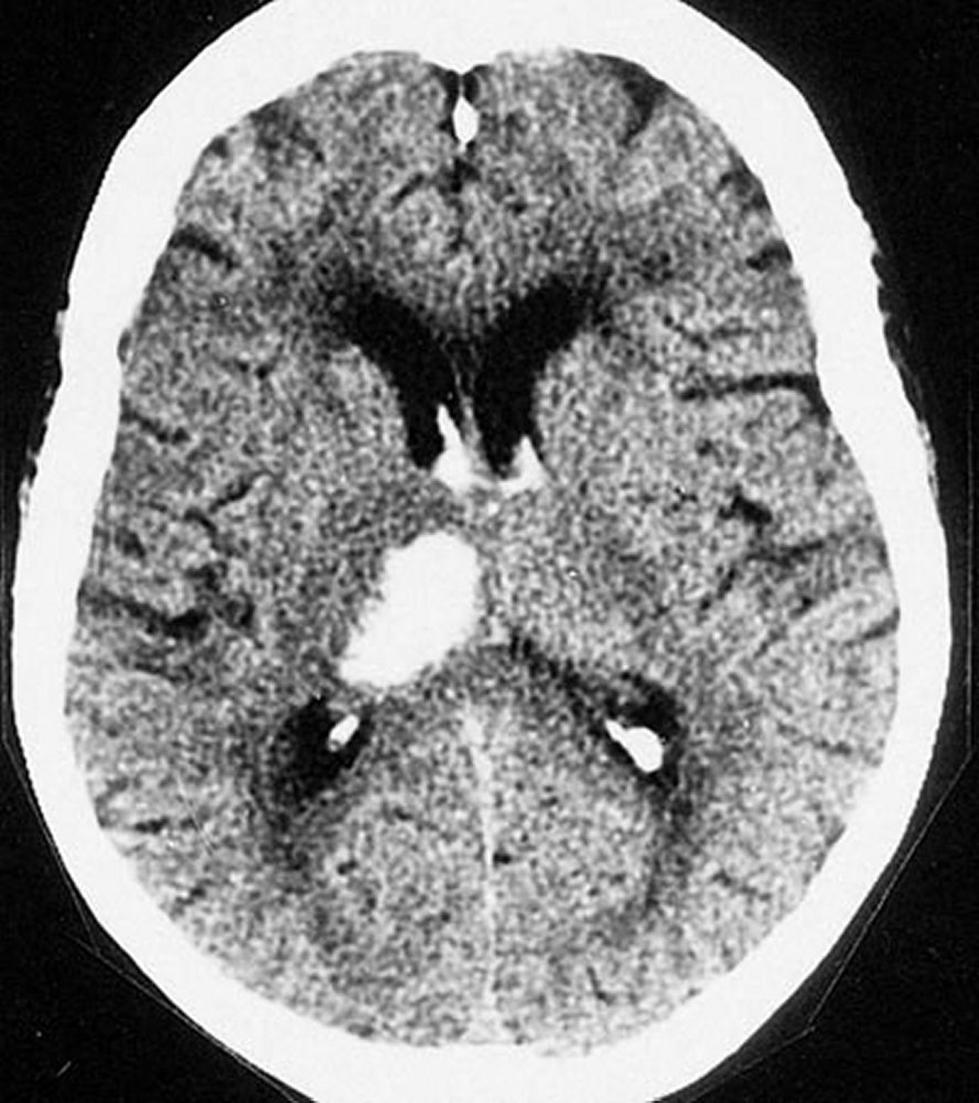
Внутримозговое кровоизлияние в таламус
Этот КТ сканирование показывает кровоизлияние в таламус. Внутримозговое кровоизлияние обычно наблюдаются в таламусе и в базальных ганглиях.
By permission of the publisher. From Furie K, et al. In Atlas of Clinical Neurology. Edited by RN Rosenberg. Philadelphia, Current Medicine, 2002.
По этим темам
