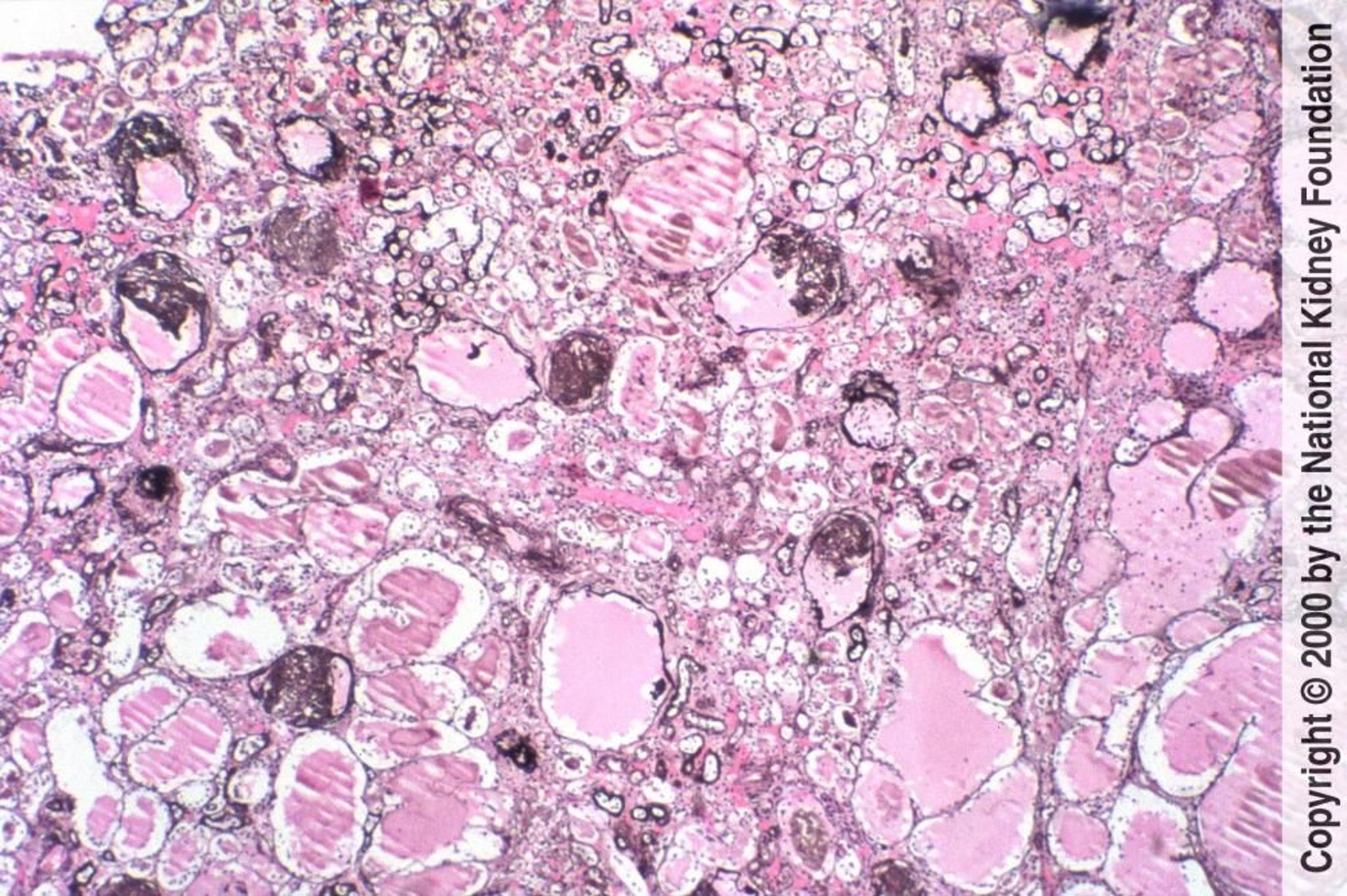
ВИЧ-ассоциированная нефропатия (коллапсирующая гломерулопатия)
Фокальный сегментарный гломерулосклероз с коллапсом почечных клубочков и микрокистозными изменениями канальцев характерен для ВИЧ-ассоциированной нефропатии (импрегнация солями серебра по Джонсу, ×100).
Image provided by Agnes Fogo, MD, and the American Journal of Kidney Diseases' Atlas of Renal Pathology (see www.ajkd.org).
По этим темам
