Бронхоэктатическая болезнь (компьютерная томография)
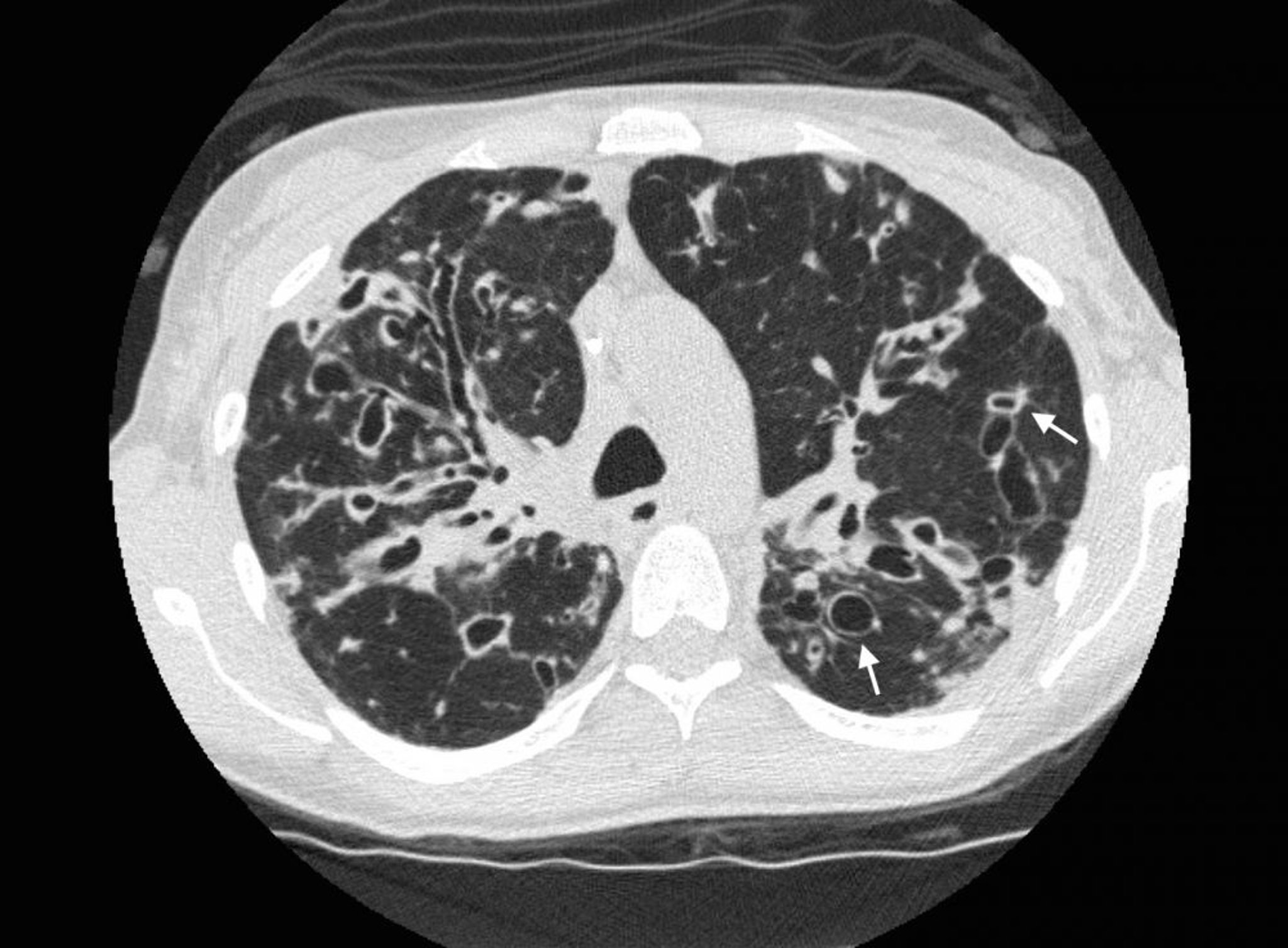
КТ грудной клетки у пациента с муковисцидозом показывает тяжелые бронхоэктазы в верхних зонах легких с расширением дыхательных путей и кистозными изменениями. Стрелки указывают на симптом перстня, то место, где расширенные дыхательные пути (кольцо) примыкают к меньшей по размеру артерии (верхняя часть кольца). Как правило, размер дыхательных путей совпадает или не превышает размер прилежащих артерий.
Photo courtesy of Başak Çoruh, MD.
По этим темам
