Аневризма брюшного отдела аорты (КТ-сканирование)
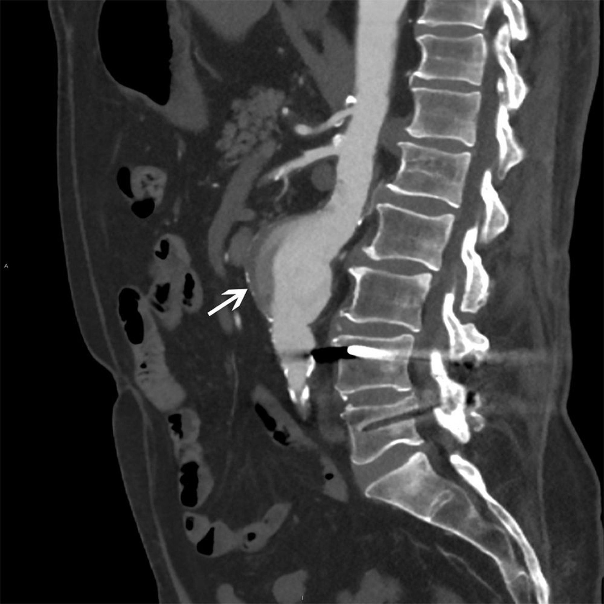
Белая стрелка показывает аневризму брюшной аорты размером 5 см с неоднородным потоком и пристеночной бляшкой.
© 2017 Elliot K. Fishman, MD.
По этим темам
Белая стрелка показывает аневризму брюшной аорты размером 5 см с неоднородным потоком и пристеночной бляшкой.
© 2017 Elliot K. Fishman, MD.