Анапластическая астроцитома
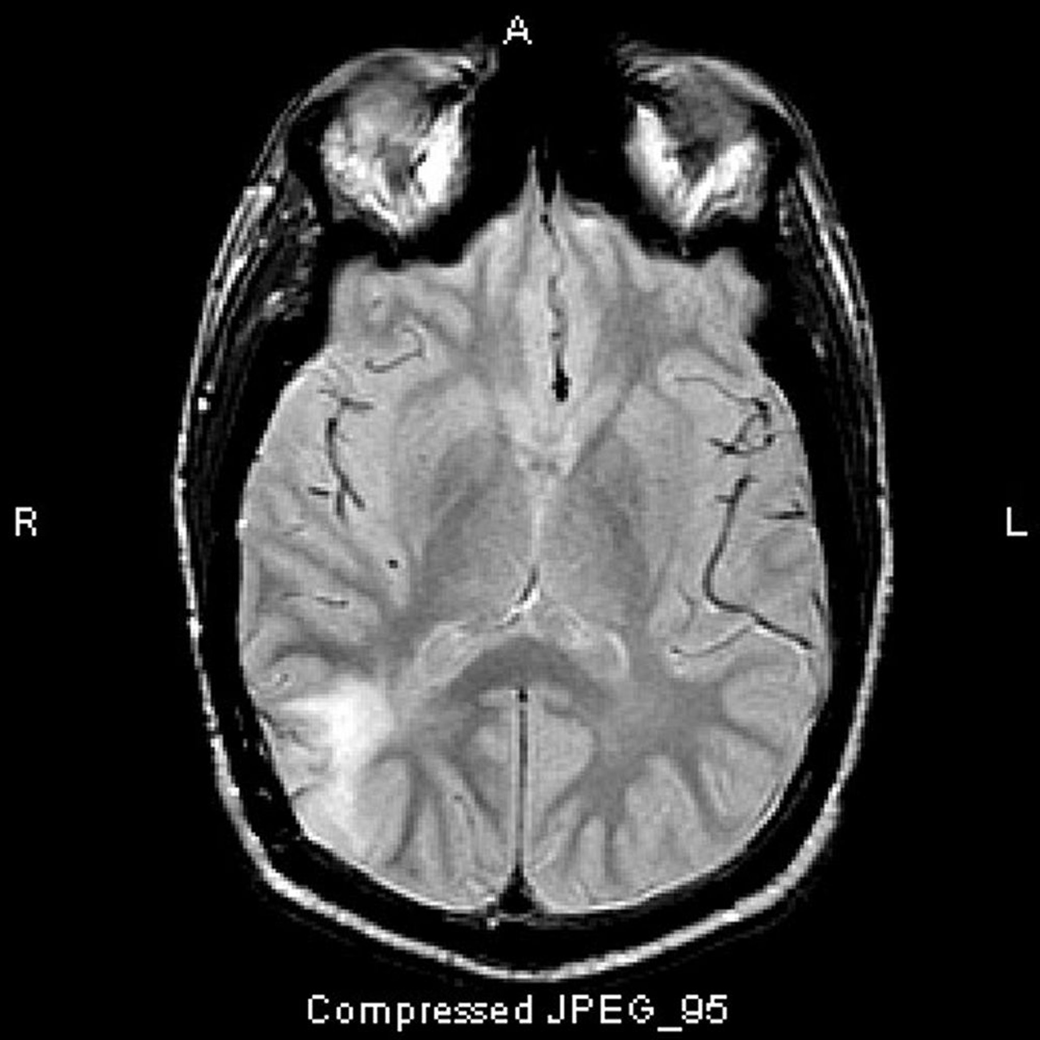
На этом МРТ-скане, выполненном в режиме T2-FLAIR, показан гиперинтенсивный сигнал в заднем отделе височной доли. Сигнал не усиливается при контрастировании. Это анапластическая астроцитома (III степени)
Image courtesy of William R. Shapiro, MD.
По этим темам
