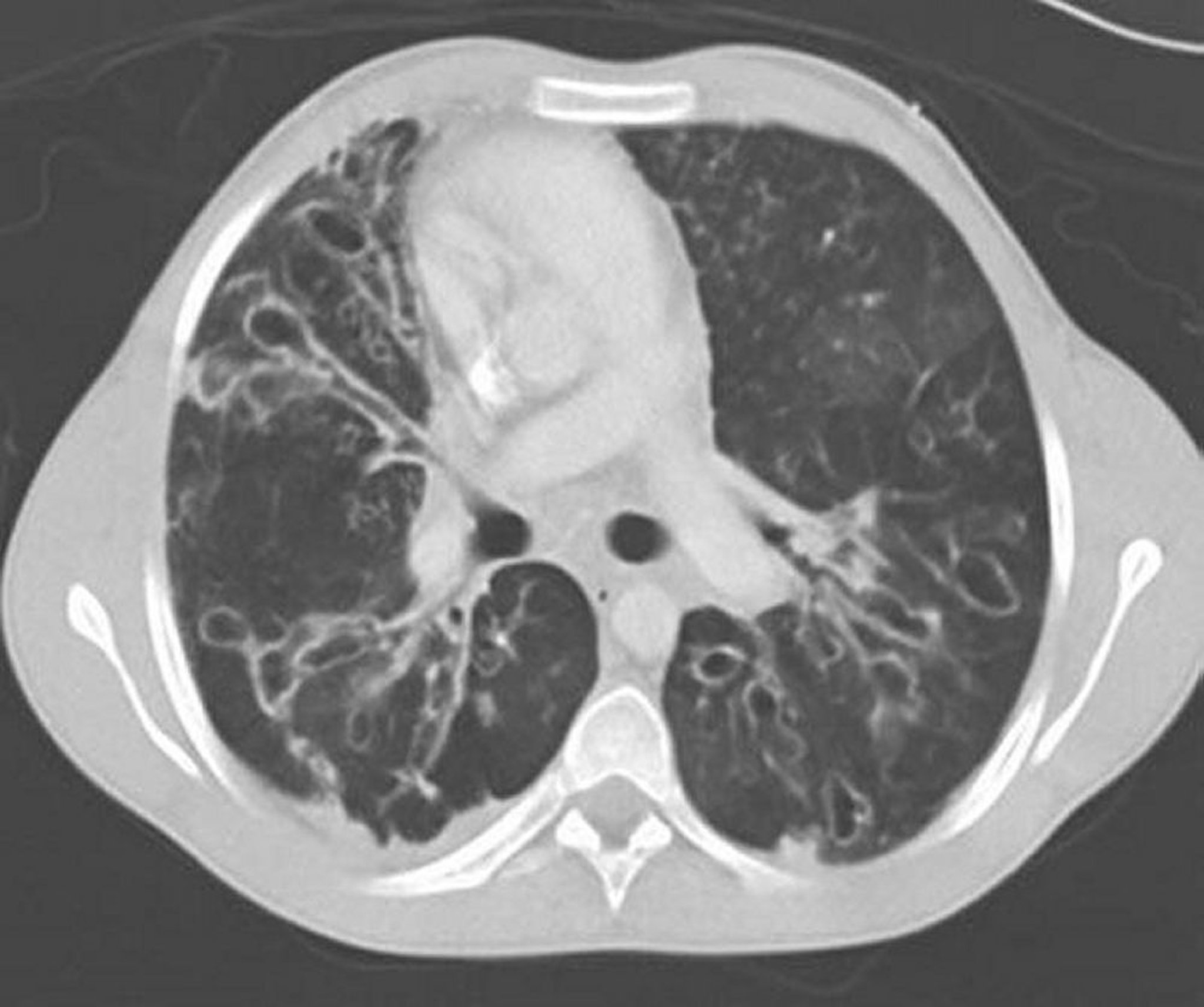
Аллергический бронхолегочный аспергиллез (бронхоэктазия)
Контрастная КТ грудной клетки демонстрирует тяжелый бронхоэктаз в средних зонах легкого с сильно расширенными и эктатическими дыхательными путями и кистозными изменениями. Эктазия дыхательных путей характеризуется соотношением дыхательных путей к прилегающим сосудам > 1.
By permission of the publisher. Из Coakley R, Boucher R, Fiel S, et al. In Bone's Atlas of Pulmonary and Critical Care Medicine. Edited by J Crapo. Philadelphia, Current Medicine, 2005.
По этим темам
