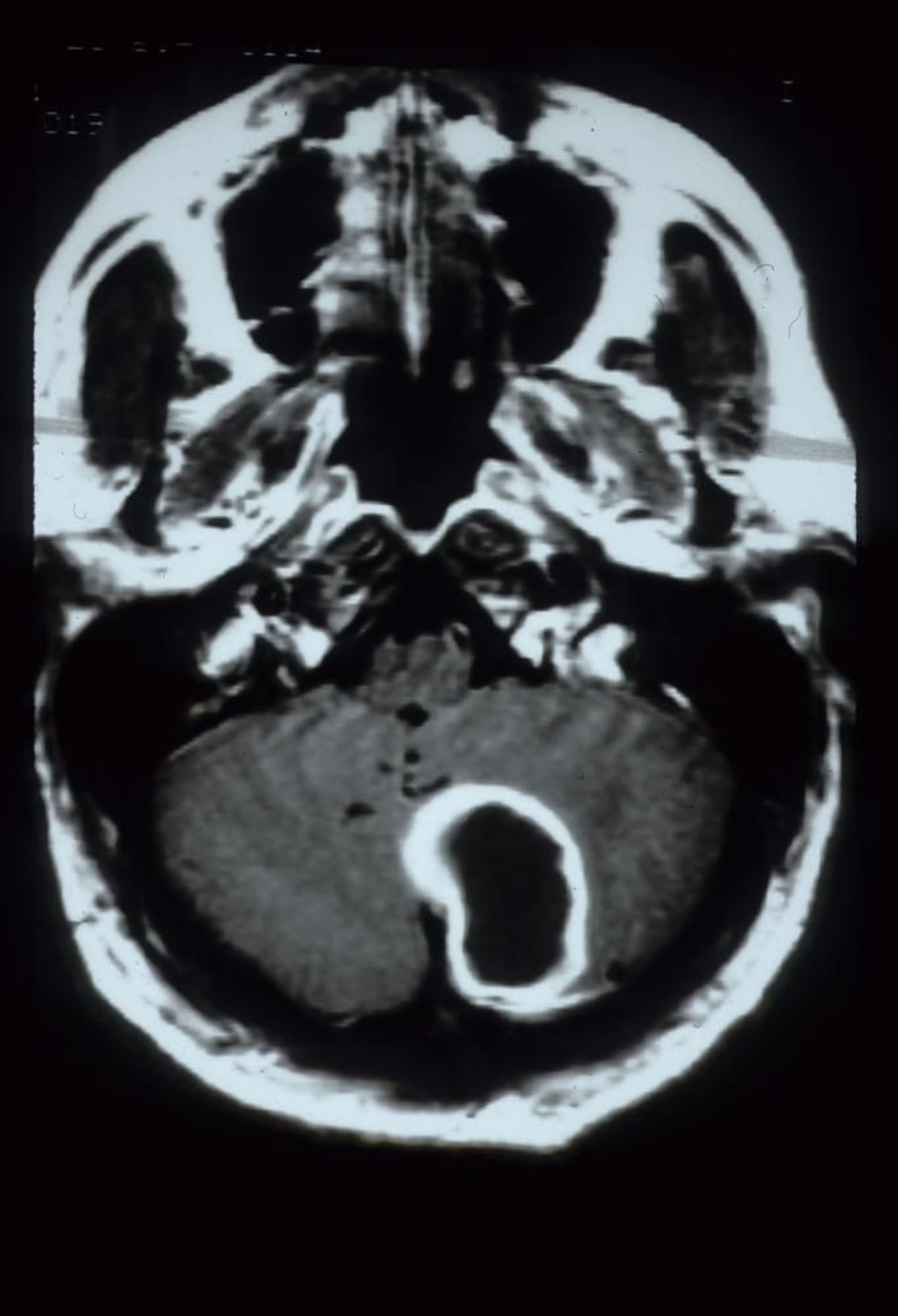
Абсцесс мозжечка
На этом МРТ-скане с контрастным усилением (гадолиний) показан абсцесс мозжечка, который проявляется в виде большого, увеличивающегося по краю полостного очага поражения в левом полушарии мозжечка.
Courtesy of John E. Greenlee, MD.
По этим темам
