Ultrassonografia com Doppler colorido da artéria carótida
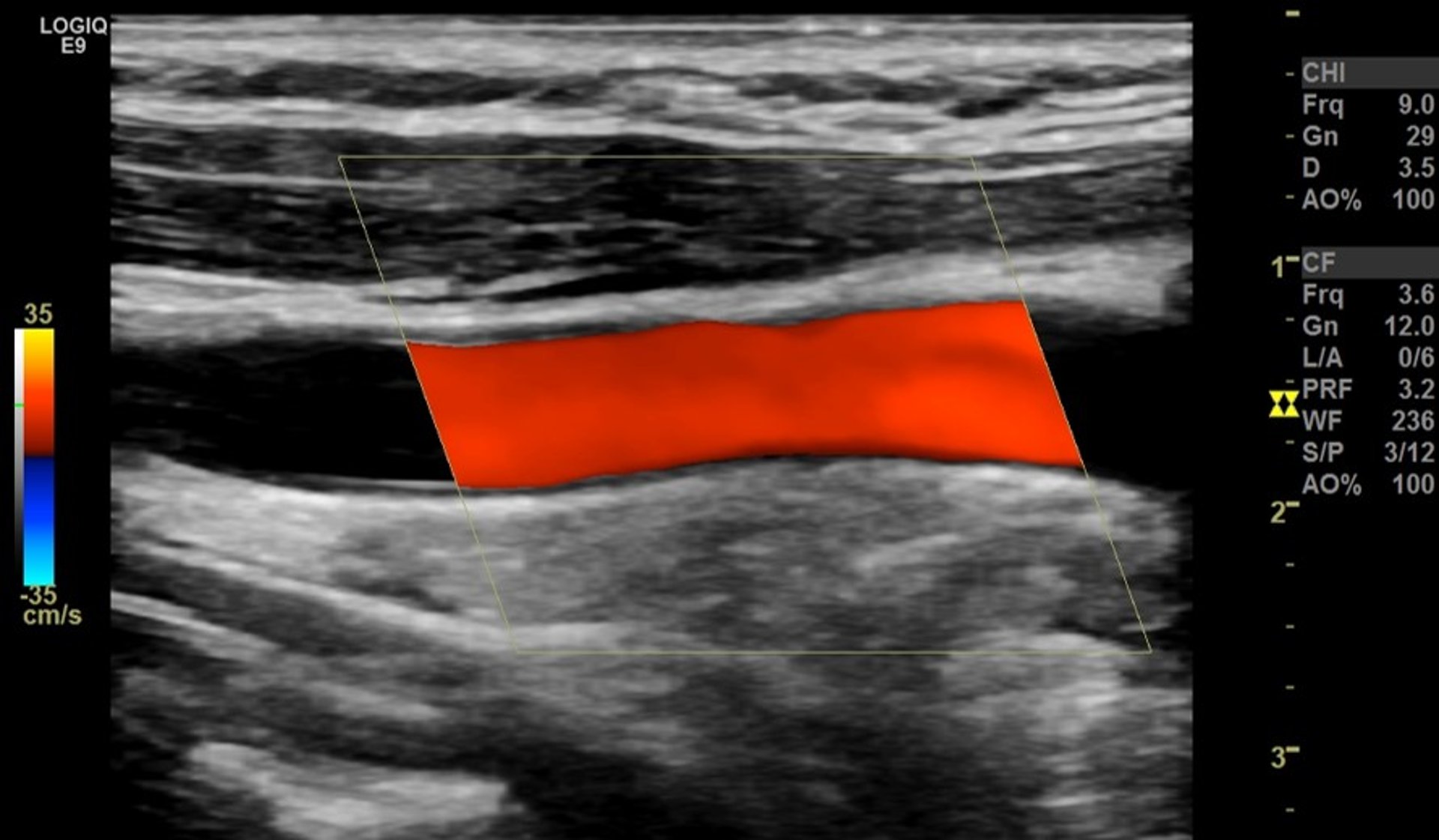
A faixa vermelha representa o fluxo sanguíneo normal e desobstruído passando através de uma grande artéria no pescoço (artéria carótida comum), visualizada pela lateral.
Imagem fornecida pelo Dr. Mustafa Mafraji
Nesses tópicos
