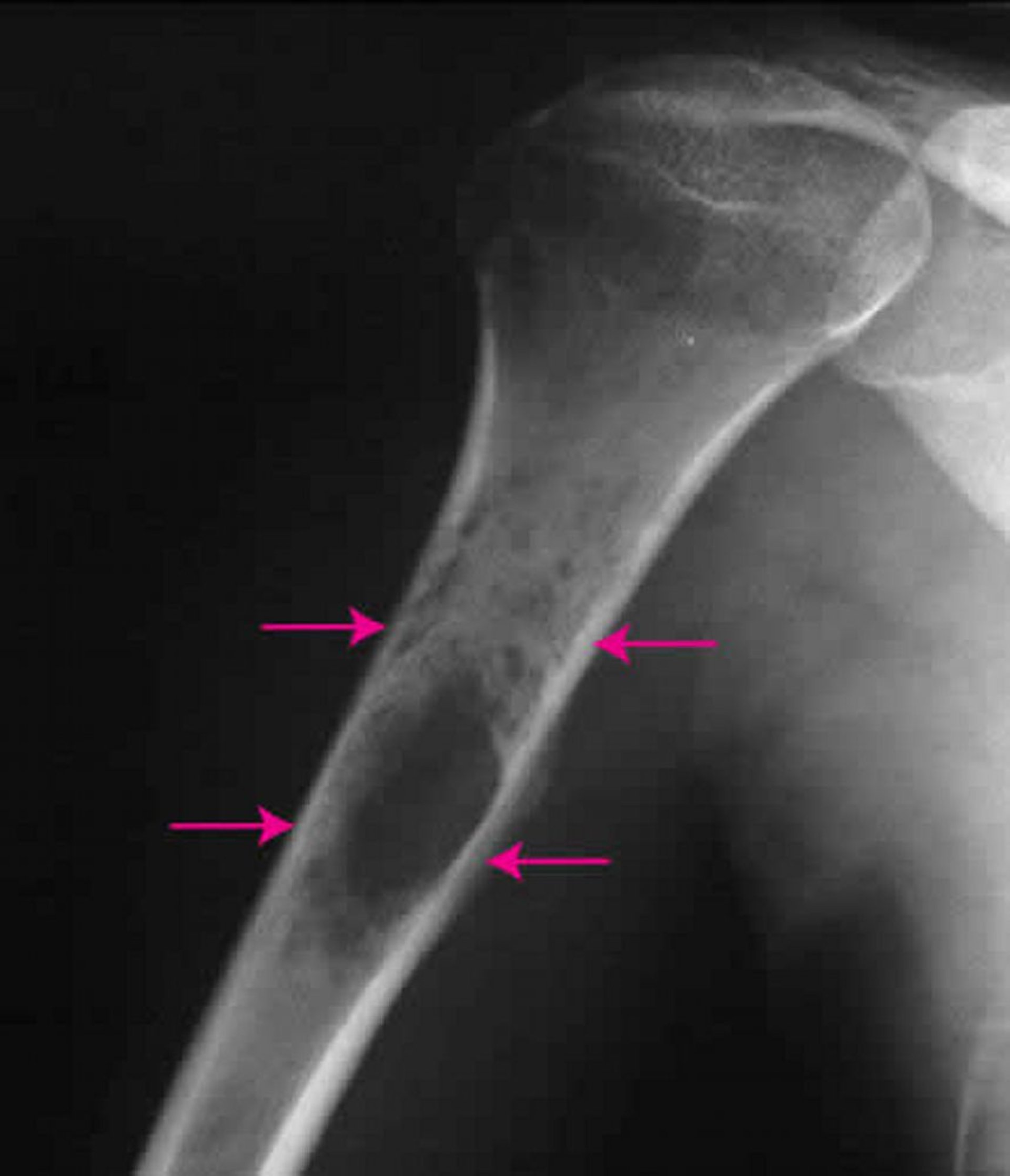
Sarcoma de Ewing ósseo
Esta radiografia do ombro mostra um sarcoma de Ewing (setas) dentro do osso do braço.
Imagem por cortesia do Dr. Michael J. Joyce e do Dr. Hakan Ilaslan.
Nesses tópicos
Esta radiografia do ombro mostra um sarcoma de Ewing (setas) dentro do osso do braço.
Imagem por cortesia do Dr. Michael J. Joyce e do Dr. Hakan Ilaslan.