Pneumonite química causada por inalação de hidrocarbonetos
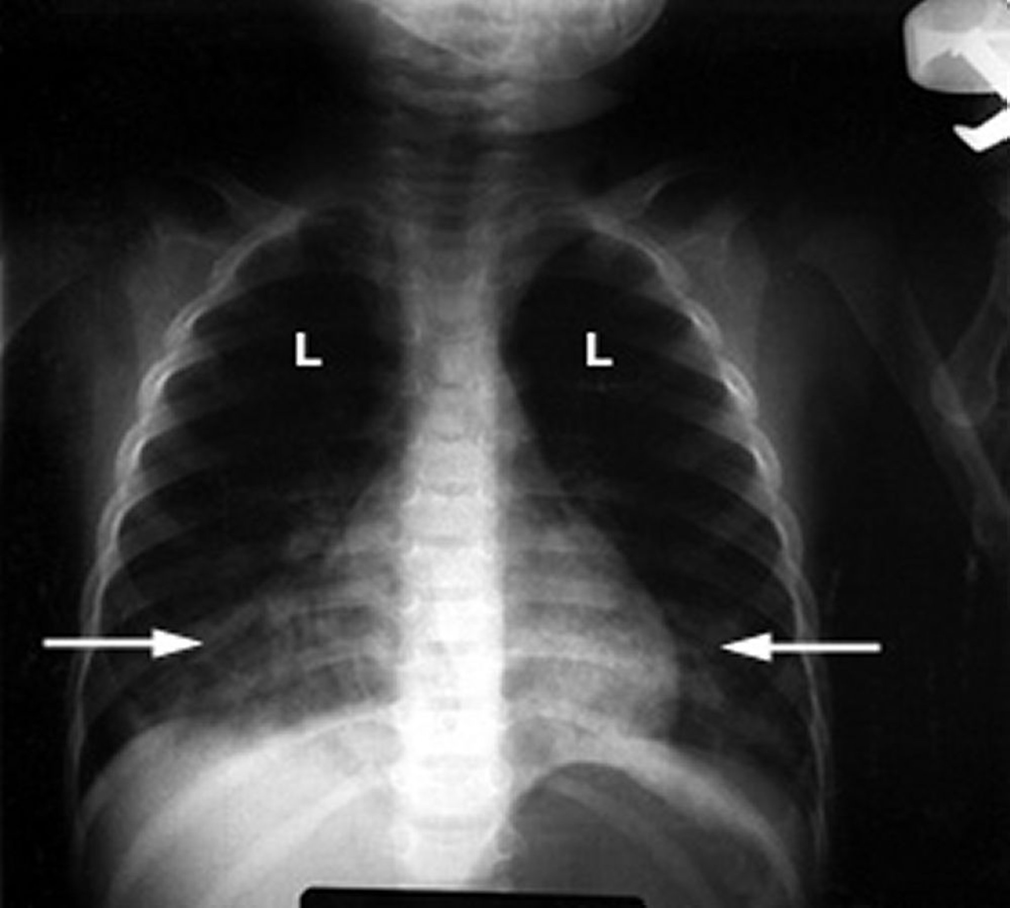
Uma radiografia do tórax anormal em um bebê mostra infiltrados brancos esponjosos (setas) nos pulmões (L), indicando inflamação. Esse resultado é típico de lesão pulmonar devido a intoxicação por hidrocarbonetos.
Cortesia do Dr. G. Schmidt.
Nesses tópicos
