Osteossarcoma
Esta radiografia do joelho mostra um osteossarcoma no osso da coxa acima do joelho.
Imagem por cortesia do Dr. Michael J. Joyce e do Dr. Hakan Ilaslan.
Nesses tópicos
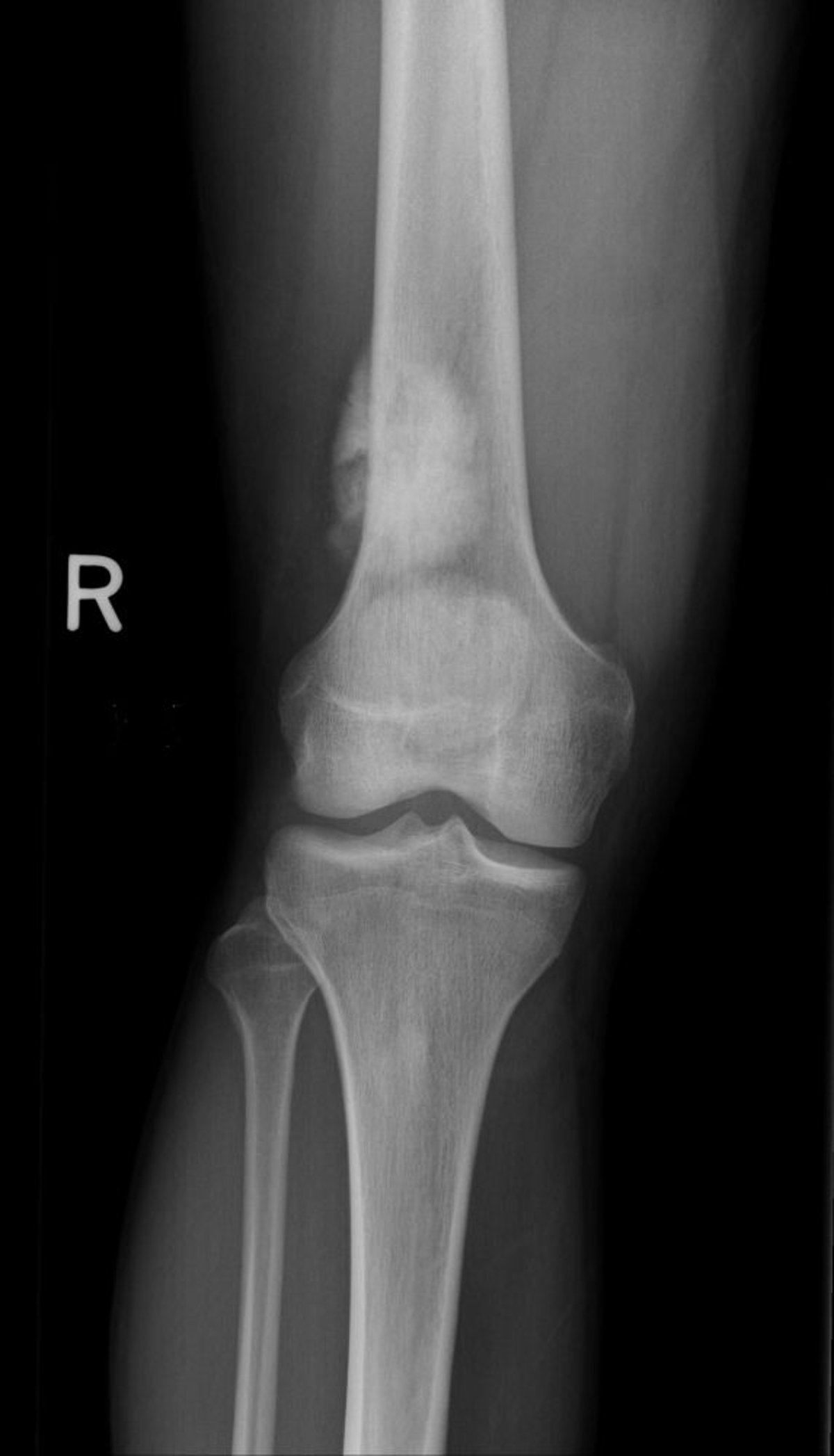
Esta radiografia do joelho mostra um osteossarcoma no osso da coxa acima do joelho.
Imagem por cortesia do Dr. Michael J. Joyce e do Dr. Hakan Ilaslan.