Osteocondroma do joelho
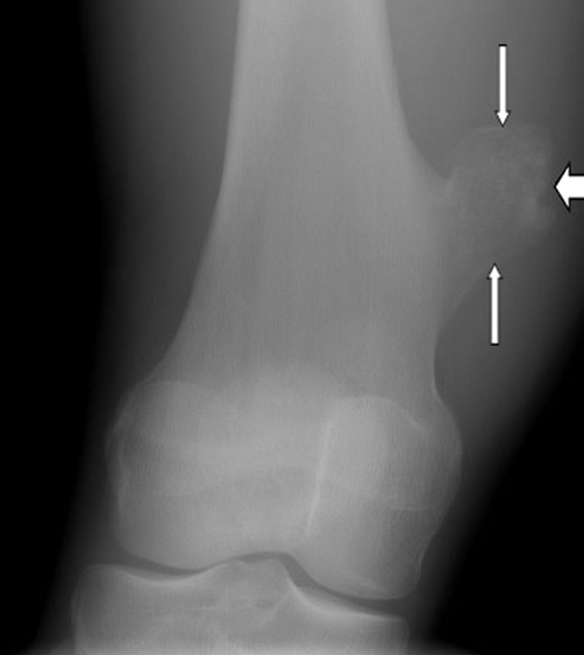
Esta radiografia do joelho mostra um osteocondroma, que é o crescimento na superfície do osso da coxa (setas) acima da articulação do joelho.
Imagem por cortesia do Dr. Michael J. Joyce e do Dr. Hakan Ilaslan.
Nesses tópicos
Esta radiografia do joelho mostra um osteocondroma, que é o crescimento na superfície do osso da coxa (setas) acima da articulação do joelho.
Imagem por cortesia do Dr. Michael J. Joyce e do Dr. Hakan Ilaslan.