Fratura deslocada do olécrano
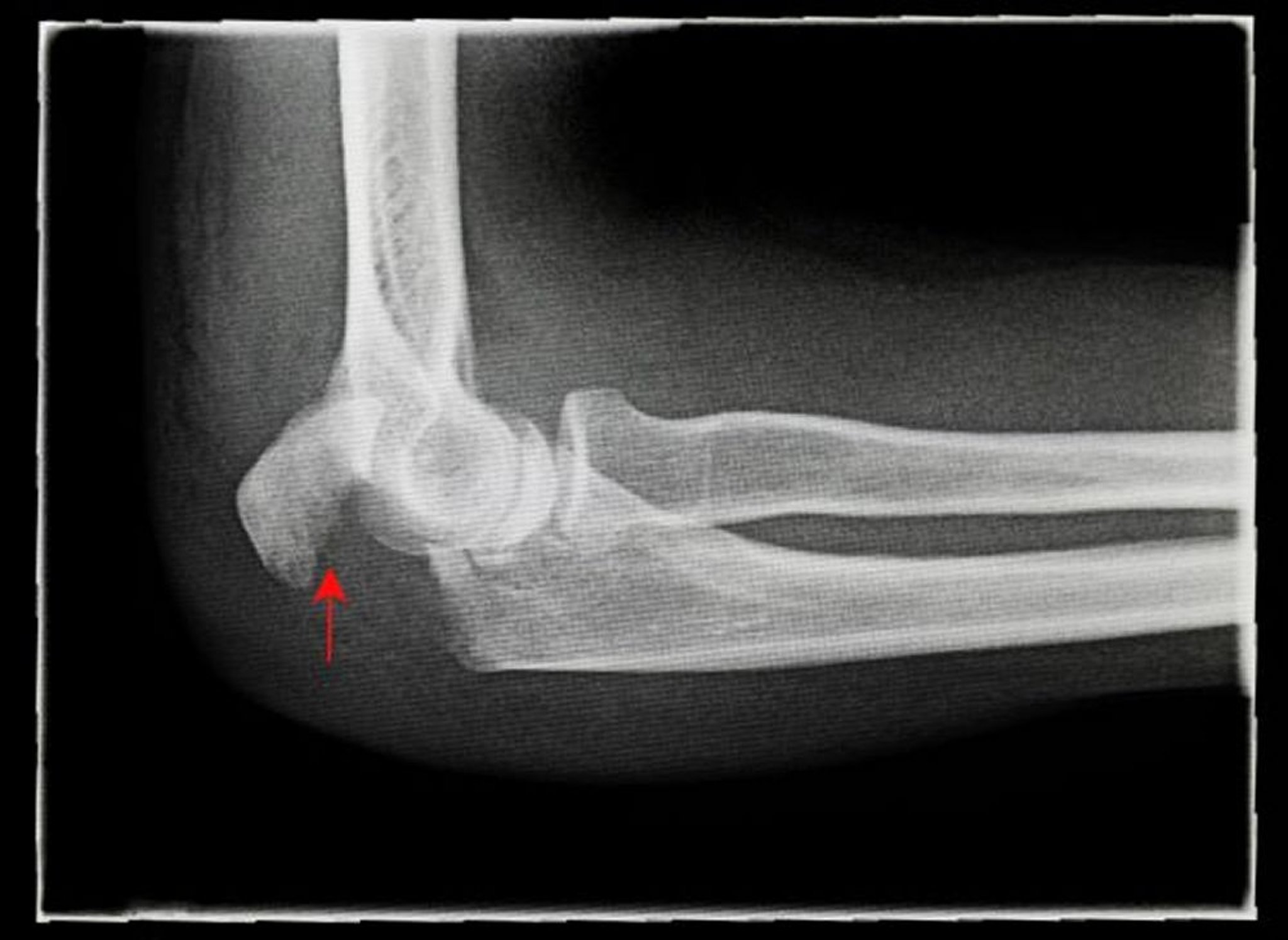
Esta radiografia mostra uma visão do lado (lateral) de uma fratura deslocada do olécrano (seta).
ANTONIA REEVE/SCIENCE PHOTO LIBRARY
Nesses tópicos
Esta radiografia mostra uma visão do lado (lateral) de uma fratura deslocada do olécrano (seta).
ANTONIA REEVE/SCIENCE PHOTO LIBRARY