Câncer metastático do fígado
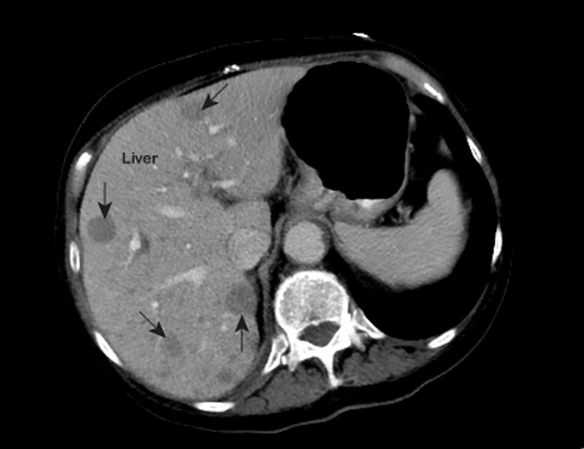
Uma ressonância magnética (RM) anormal do tórax mostra áreas anormais (assinaladas por setas) dentro do fígado. Esses achados são típicos de câncer metastático do fígado.
Foto por cortesia do Dr. Patrick O’Kane.
Nesses tópicos
