Câncer de estômago
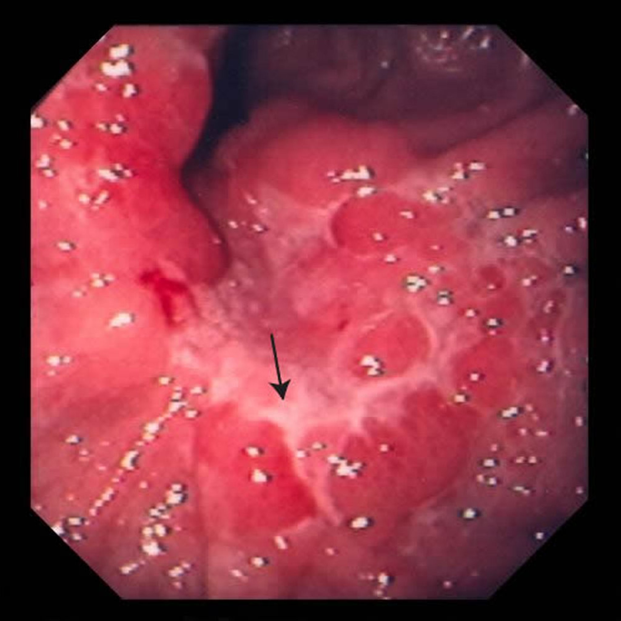
Esta fotografia exibe uma úlcera no estômago (seta). Após uma biópsia, os médicos determinam que era um adenocarcinoma.
Imagem fornecida pelo Dr. David M. Martin.
Nesses tópicos
Esta fotografia exibe uma úlcera no estômago (seta). Após uma biópsia, os médicos determinam que era um adenocarcinoma.
Imagem fornecida pelo Dr. David M. Martin.