Cáries
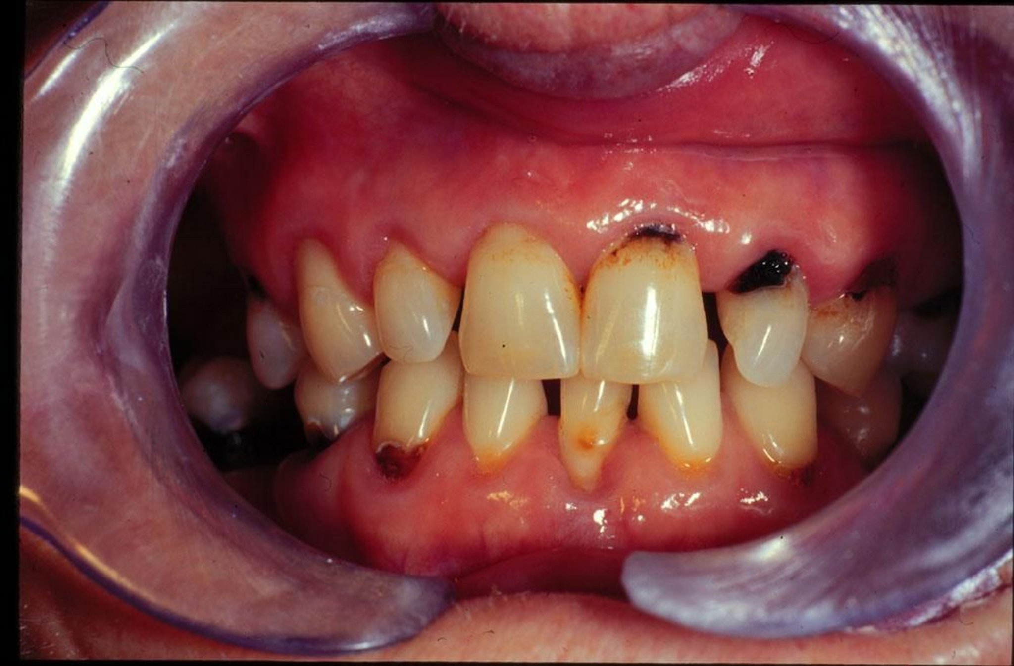
Esta imagem mostra cáries novas e recorrentes em uma pessoa com boca seca.
Imagem fornecida pelo Dr. Jonathan A. Ship, DMD.
Nesses tópicos
Esta imagem mostra cáries novas e recorrentes em uma pessoa com boca seca.
Imagem fornecida pelo Dr. Jonathan A. Ship, DMD.