Úlcera gástrica

Úlcera gástrica

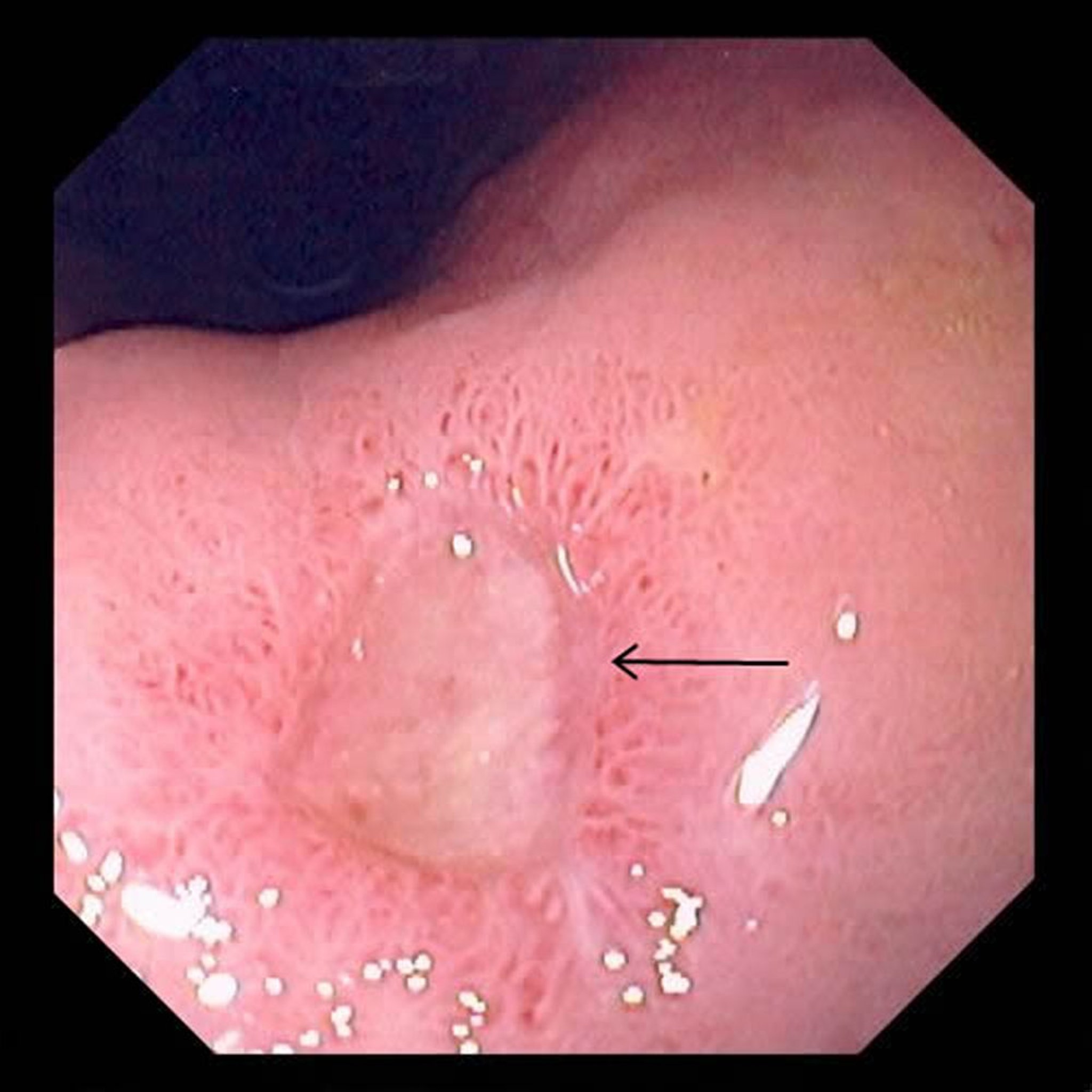
Esta fotografia exibe uma úlcera extensa (seta) no estômago.

Fotografia fornecida pelo Dr. David M. Martin.