Úlcera péptica

Revisado/Corrigido: modificado jan. 2025
v31254374_pt
VISUALIZAR A VERSÃO PARA PROFISSIONAIS DE SAÚDE
Obtenha os detalhes completos

O estômago fabrica muito ácido, que ajuda a digerir os alimentos. Normalmente, o revestimento do estômago e do intestino está protegido contra o ácido. Se algo interfere com essa proteção, o ácido pode causar danos.

O que é uma úlcera péptica?

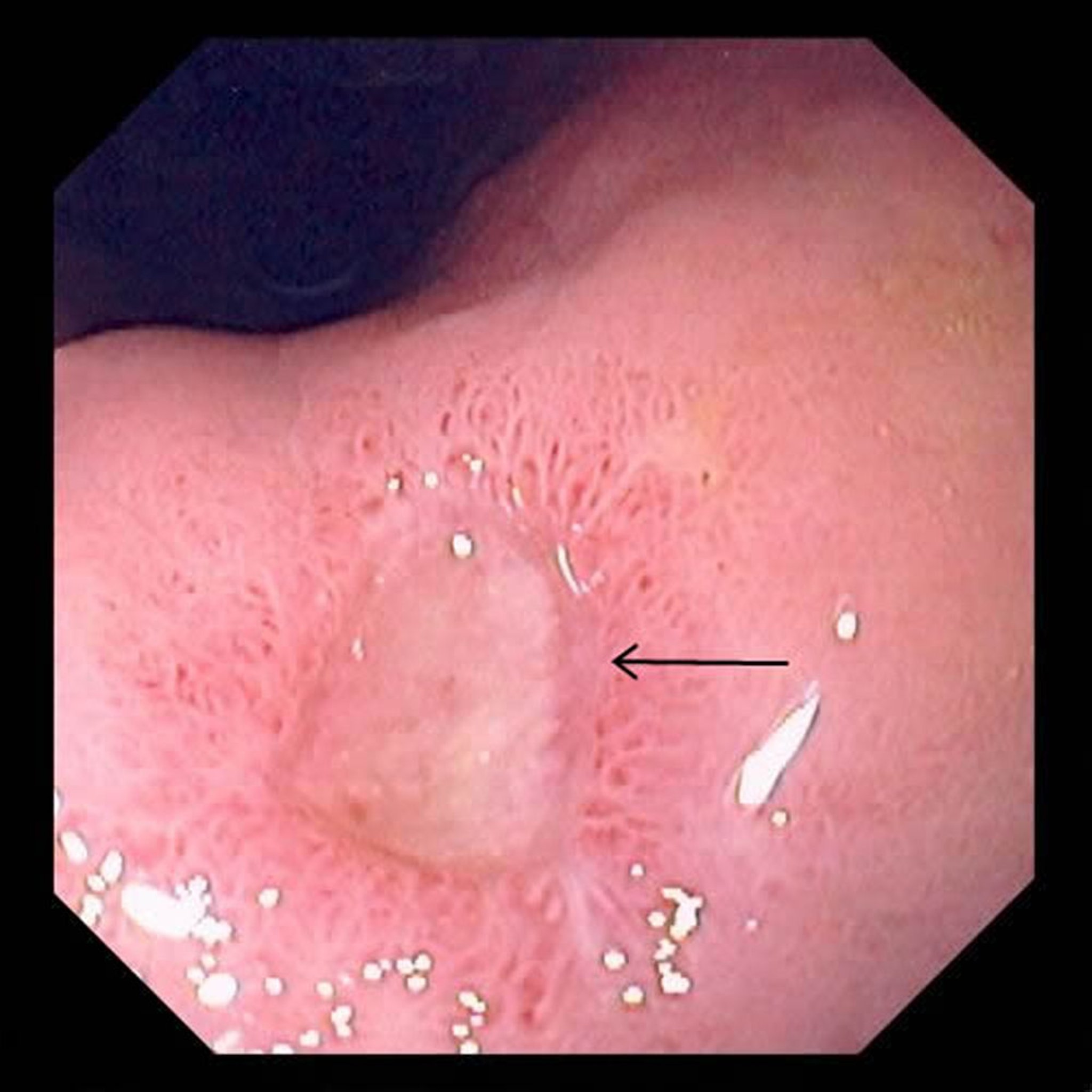
“Péptica” tem a ver com a digestão relacionada à pepsina (uma substância que ajuda a decompor os alimentos no estômago) e ao ácido. Úlcera é uma ferida. Assim, uma úlcera péptica é uma ferida no revestimento do estômago ou da primeira parte do intestino delgado (uma região denominada duodeno). As úlceras pépticas no estômago são denominadas úlceras gástricas. As úlceras na primeira parte do intestino delgado são denominadas úlceras duodenais.

  • Infecção com uma bactéria denominada Helicobacter pylori ou tomar AINEs (analgésicos, como, por exemplo, aspirina ou ibuprofeno) podem prejudicar a proteção do estômago contra o ácido gástrico

  • O ácido gástrico causa irritação no revestimento do estômago ou duodeno

  • A pessoa pode ter dor ou desconforto na parte superior do abdômen

  • As úlceras que são mais profundas podem causar hemorragia ou um orifício no estômago

  • O médico trata as úlceras pépticas com antibióticos para combater a infecção por Helicobacter pylori e medicamentos para reduzir o ácido gástrico, como um inibidor da bomba de prótons)

Estômago e intestino

O que causa as úlceras pépticas?

As duas causas mais comuns de úlceras pépticas são:

  • Infecção do estômago, geralmente causada pela bactéria Helicobacter pylori

  • Uso de AINEs (analgésicos como, por exemplo, ibuprofeno ou aspirina) e outros tipos de medicamento

Pessoas que fumam estão mais propensas a desenvolver uma úlcera péptica. Além disso, as úlceras demoram mais para cicatrizar e provavelmente aparecerão novamente.

Quais são os sintomas de uma úlcera péptica?

Muitas pessoas com úlcera péptica não têm sintomas. Quando eles ocorrem, o sintoma mais comum é:

  • Dor abdominal leve a moderada (pode ser uma sensação de queimação, ardência ou dor na região central superior do abdômen, um pouco abaixo do diafragma)

Normalmente, a dor aparece e desaparece. Comer geralmente melhora a dor das úlceras duodenais, mas a dor retorna depois de algumas horas. Tomar antiácidos geralmente faz a dor melhorar.

Outros sintomas incluem:

  • Enjoo e vômitos

  • Sensação de plenitude

Quais são as complicações das úlceras pépticas?

As úlceras pépticas podem causar problemas como, por exemplo:

  • Hemorragia, que causa fezes negras, ou vomitar sangue ou algo que se parece com borra de café

  • Um orifício (perfuração) através da parede do estômago ou intestino delgado, causando infecção grave e dor abdominal

A infecção por Helicobacter pylori que não é tratada faz com que a pessoa tenha um risco maior de ter câncer de estômago.

Como o médico sabe que a pessoa tem uma úlcera péptica?

É possível que o médico suspeite de úlcera tomando por base os sintomas, e simplesmente fazer com que a pessoa inicie um tratamento para úlcera. Se a pessoa melhorar, nenhum exame costuma ser feito.

Contudo, é possível que o médico faça exames se:

  • A pessoa já vem tendo os sintomas por bastante tempo

  • Os sintomas forem graves ou não forem os característicos de úlceras

  • Os sintomas não começaram antes dos 45 anos de idade

  • A pessoa não melhora após ter tomado o medicamento

O principal exame que o médico faz é:

  • Endoscopia (passar um tubo de visualização flexível pelo esôfago até o estômago para examinar o estômago)

Durante a endoscopia, o médico costuma colher material para biópsia (uma amostra de tecido para ser examinada sob o microscópio) para tentar detectar a presença da bactéria Helicobacter pylori ou câncer.

De que maneira o médico trata as úlceras pépticas?

O médico trata as úlceras com medicamentos como, por exemplo:

Além disso, o médico pedirá a pessoa que evite:

  • Tomar aspirina e outros AINEs

  • Álcool

  • Tabagismo

  • Consumir alimentos que pioram a dor ou a distensão abdominal

Se a pessoa tiver uma úlcera hemorrágica, o médico faz uma endoscopia para administrar tratamentos que interrompem a hemorragia. Se pessoa tiver um orifício através da parede do estômago ou do intestino, ela precisará de cirurgia.

quizzes_lightbulb_red
Test your KnowledgeTake a Quiz!
ANDROID iOS
ANDROID iOS
ANDROID iOS