honeypot link
skip to main content
Msd 매뉴얼
일반인용
의학 주제
증상
응급 상황
자료
해설
소개
의학 주제
증상
<
이미지
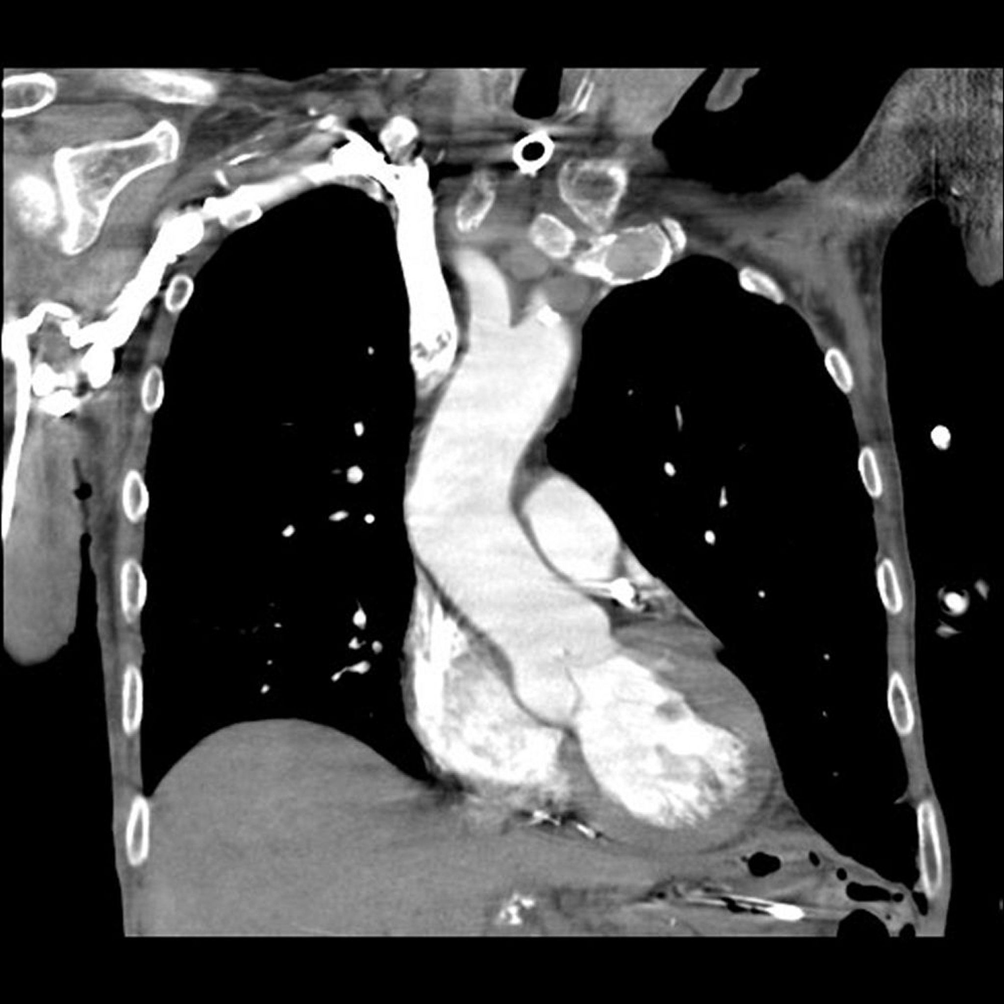
컴퓨터 단층촬영(CT) 폐 혈관조영술
이미지 제공: 의학박사 Mehmet Kocak
이 주제에서
컴퓨터 단층촬영(CT)
>