honeypot link
skip to main content
Msd 매뉴얼
일반인용
의학 주제
증상
응급 상황
자료
해설
소개
의학 주제
증상
<
이미지
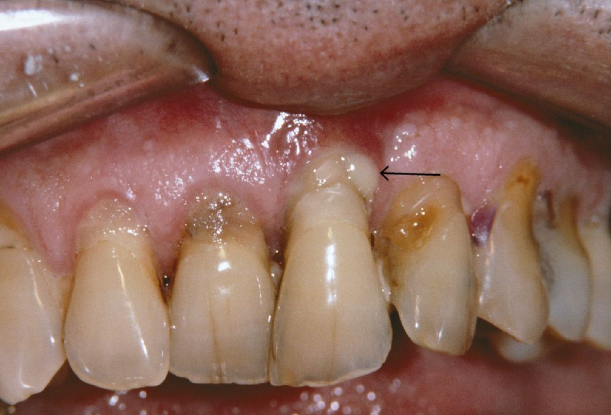
치주염
이 사진은 치주염이 있는 사람에서 퇴축 잇몸과 치주 농양(화살표)을 보여줍니다.
CNRI/SCIENCE PHOTO LIBRARY
이 주제에서
치주염
>
기본 정보: 치주염
>