전이성 간암

전이성 간암

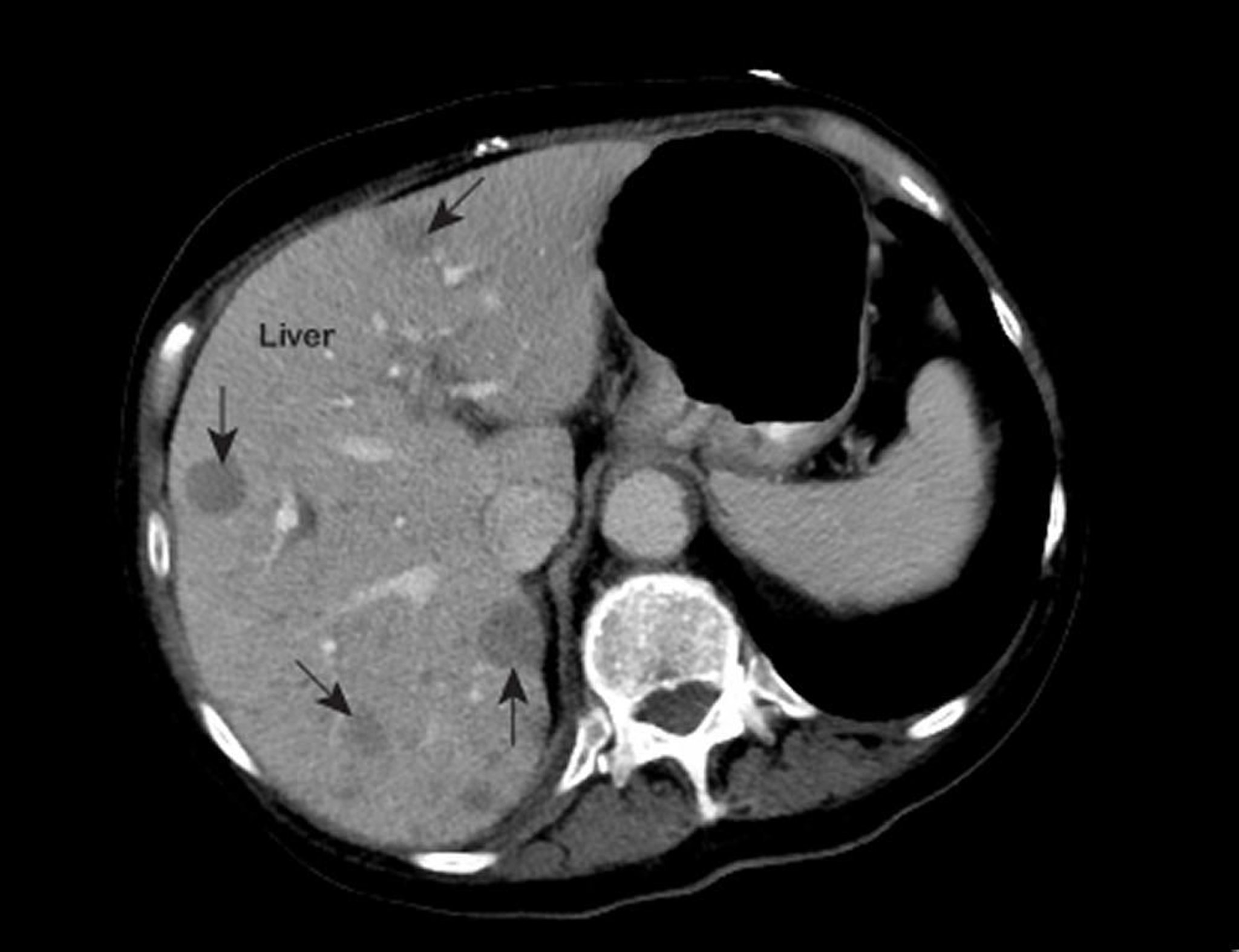
비정상적인 흉부 자기공명영상(MRI)에서는 간 내부의 비정상 부위(화살표로 표시)를 보여줍니다. 이 소견은 전이성 간암에 일반적입니다.

사진 제공: 의학박사 패트릭 오케인(Patrick O’Kane).

이 주제에서