honeypot link
skip to main content
Msd 매뉴얼
일반인용
의학 주제
증상
응급 상황
자료
해설
소개
의학 주제
증상
<
이미지
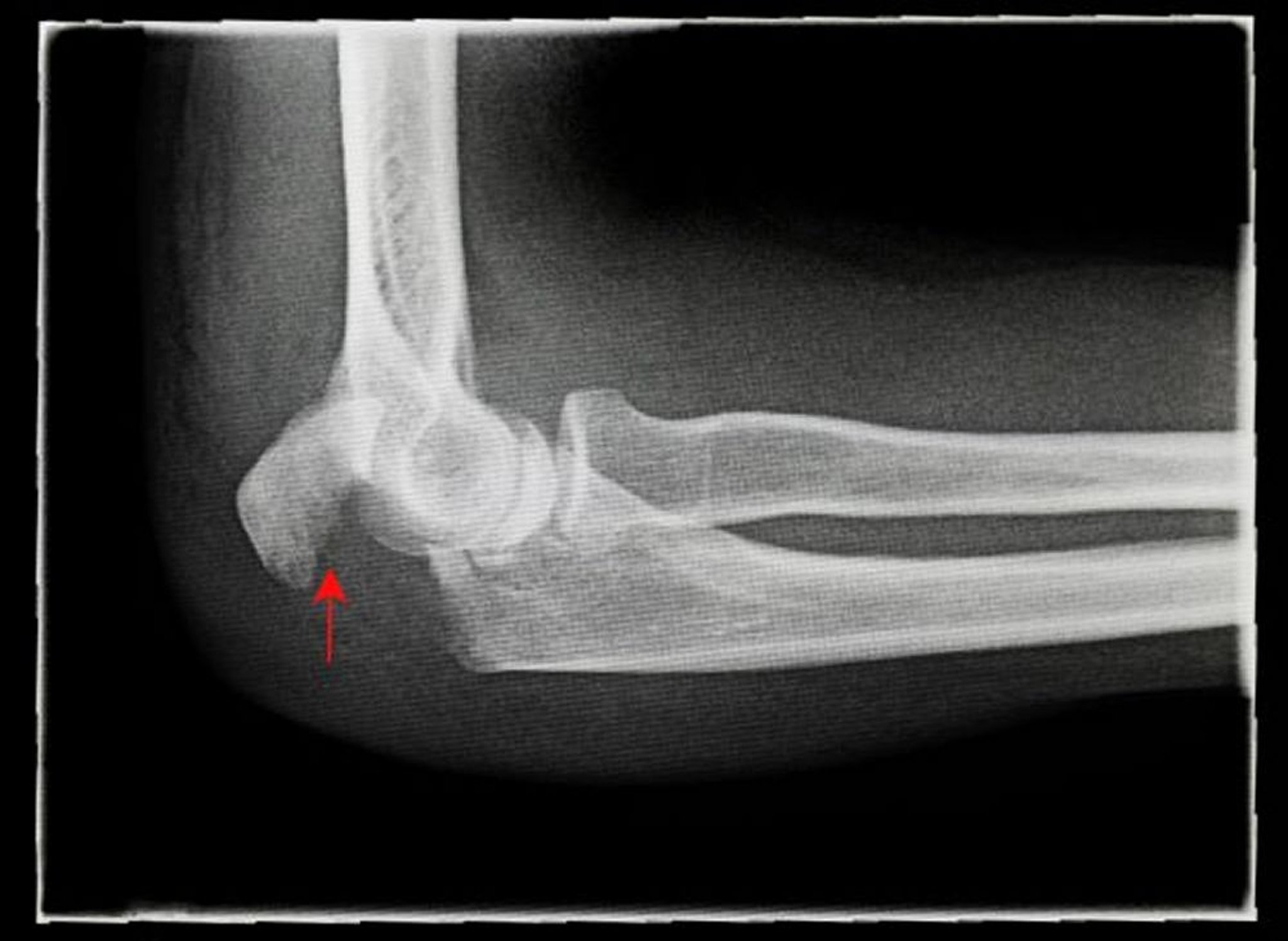
전위 팔꿈치머리 골절
이 x-레이는 전위 팔꿈치머리 골절(화살표)의 측면도를 보여줍니다.
ANTONIA REEVE/SCIENCE PHOTO LIBRARY
이 주제에서
팔꿈치 골절
>