honeypot link
skip to main content
Msd 매뉴얼
일반인용
의학 주제
증상
응급 상황
자료
해설
소개
의학 주제
증상
<
이미지
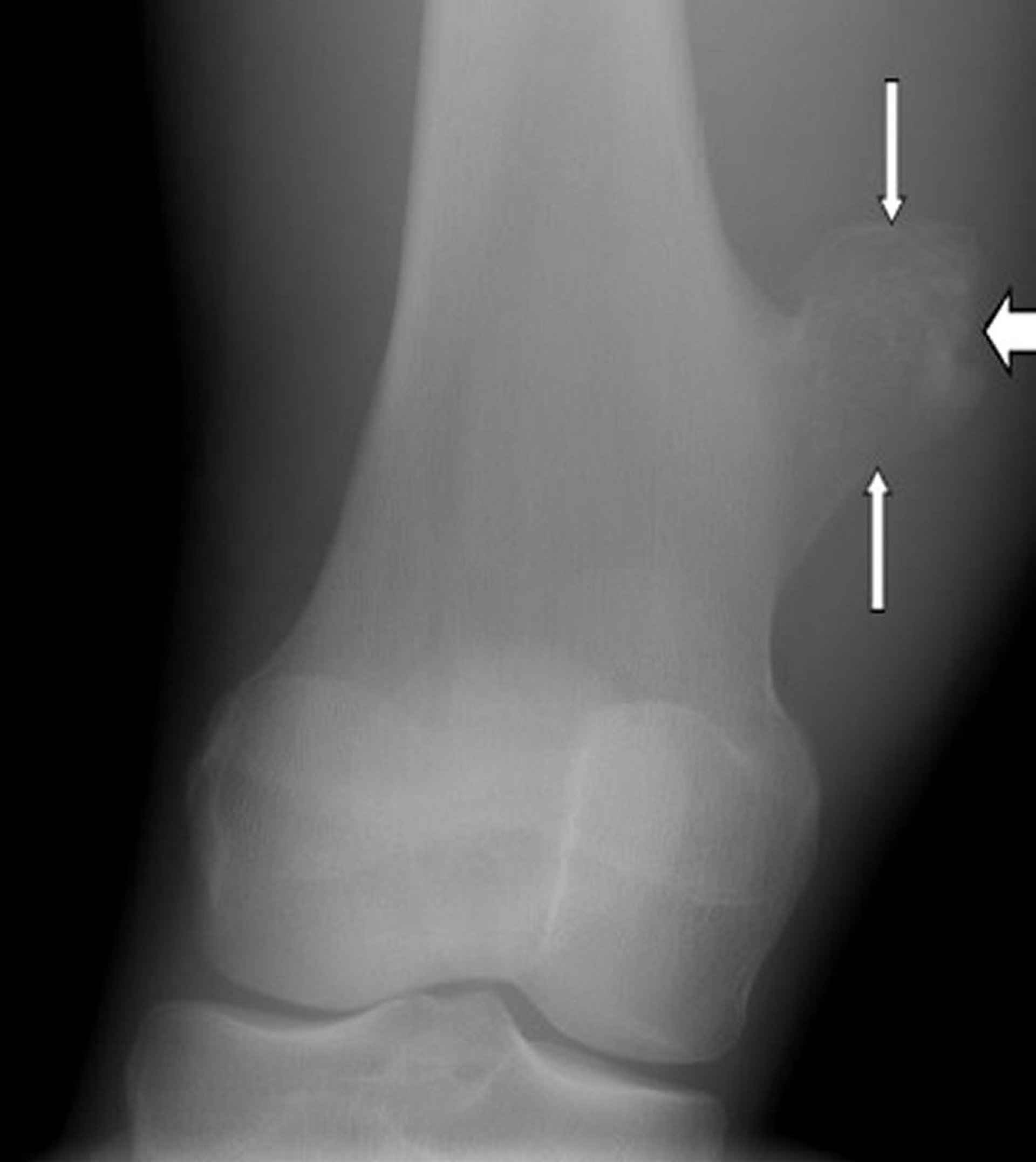
무릎 뼈연골종
이 무릎 X-레이는 무릎 관절 위 허벅지뼈 표면의 성장물(화살표)인 뼈연골종을 보여줍니다.
이미지 제공: Michael J. Joyce, MD 및 Hakan Ilaslan, MD.
이 주제에서
비암성 골 종양
>