농포

농포

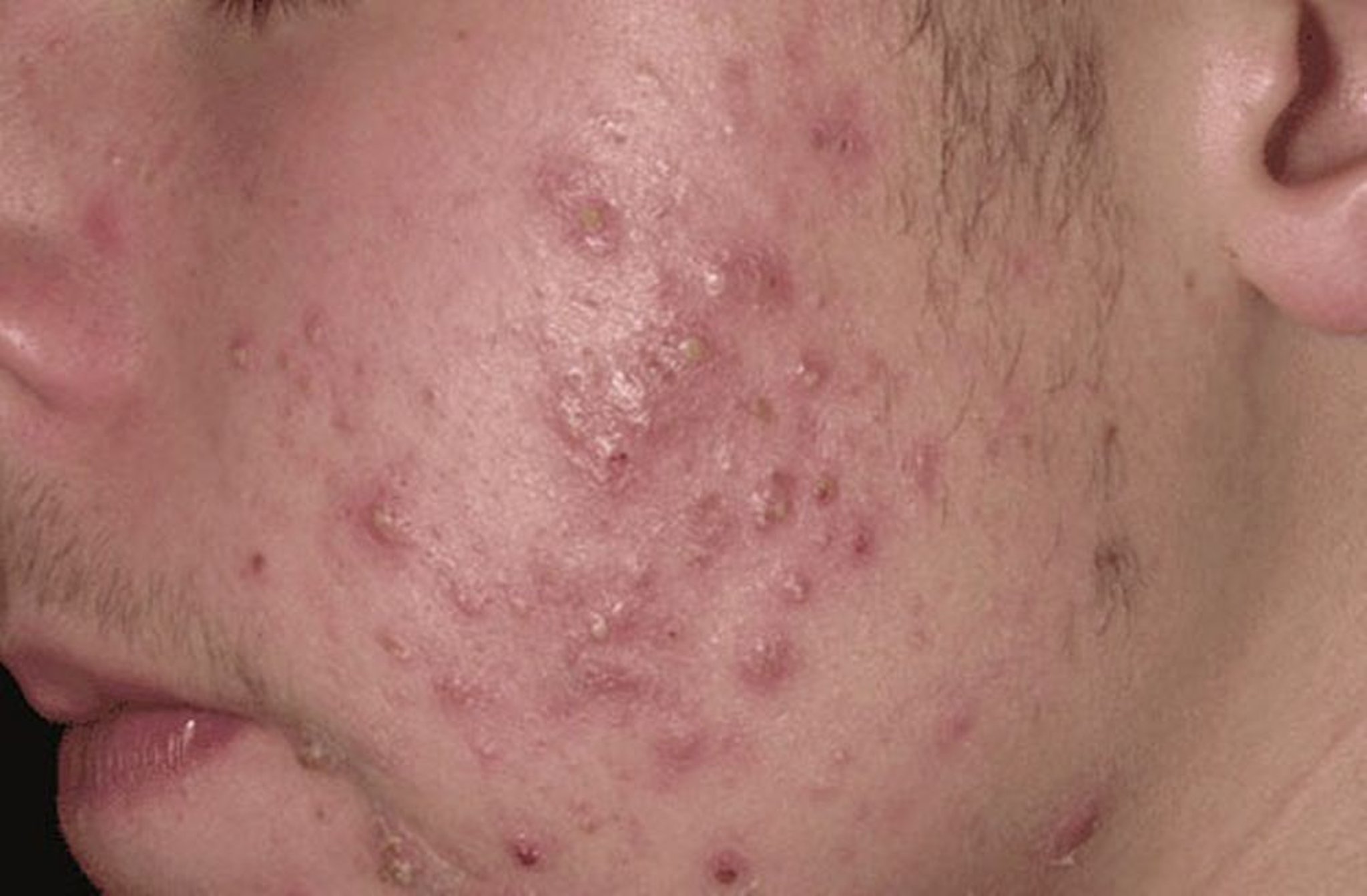
농포는 고름이 포함되어 있고 융기된, 일반적으로 위쪽이 노란색인 반점입니다. 여드름이 있는 이 사람의 얼굴에 농포가 흩어져 보입니다.

사진 제공: 의학박사 토마스 하비프(Thomas Habif)