honeypot link
skip to main content
Msd 매뉴얼
일반인용
의학 주제
증상
응급 상황
자료
해설
소개
의학 주제
증상
<
이미지
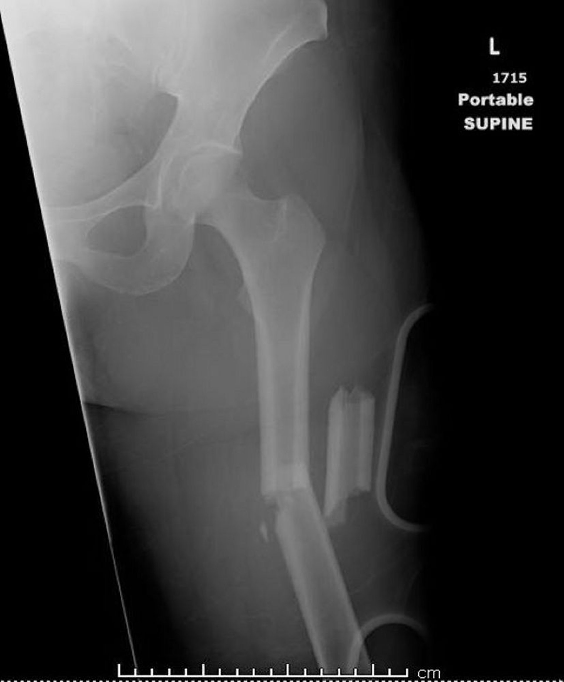
골간부 허벅지뼈 골절
이 영상은 두 곳 이상에서 골절된(분쇄된) 대퇴골을 보여줍니다.
영상 제공: Danielle Campagne, MD.
이 주제에서
다리 골절
>