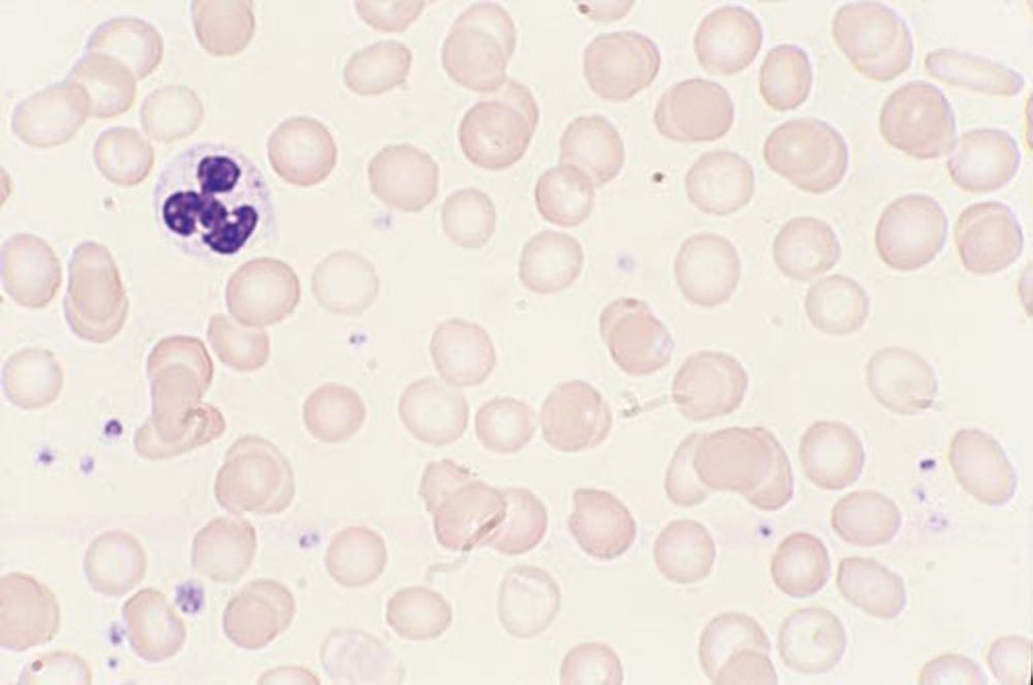
鉄欠乏性貧血
鉄欠乏性貧血では,通常,末梢血塗抹標本で赤血球の大小不同および変形がみられる。重症例の特徴として,葉巻型赤血球および楕円赤血球が認められる。逆に,多染性赤血球(網状赤血球増多に相当するライト-ギムザ染色の所見)および好塩基性斑点はまず認められない。
By permission of the publisher.From Tefferi A, Li C.In Atlas of Clinical Hematology.Edited by JO Armitage.Philadelphia, Current Medicine, 2004.
関連するトピック
