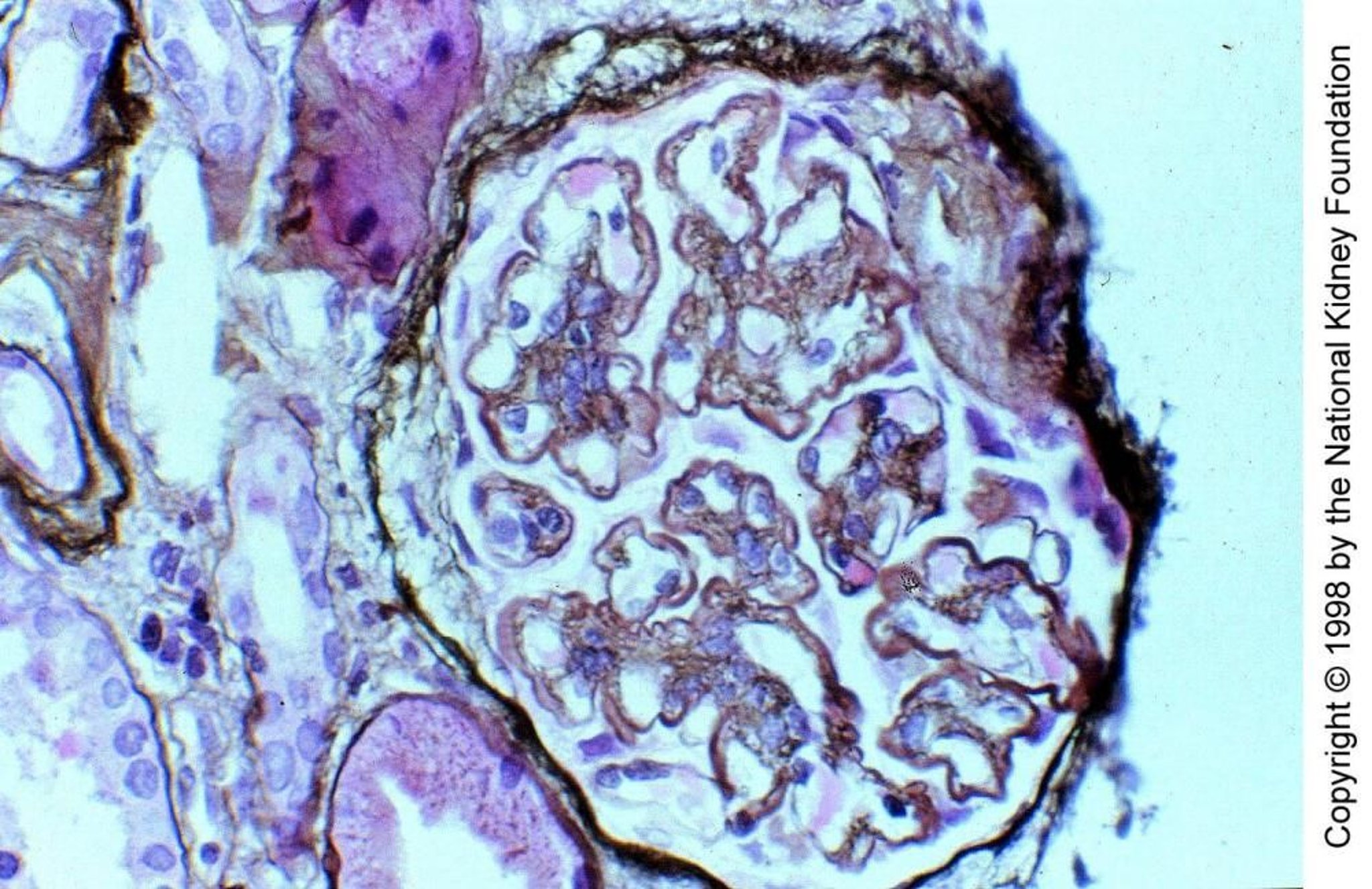
膜性増殖性糸球体腎炎,補体介在型
補体介在型の膜性増殖性糸球体腎炎(MPGN)II型では,糸球体毛細血管壁およびメサンギウム領域において,C3腎炎因子(C3からC3bに直接開裂することでプロパージンのように機能するIgG自己抗体)が副経路を介して補体を活性化させる。C3沈着物が部分的に基底膜の基底板を置換することで,基底膜が肥厚し,顕著なリボン状の外見をもたらしている(PAM染色,400倍)。
Image provided by Agnes Fogo, MD, and the American Journal of Kidney Diseases' Atlas of Renal Pathology (see www.ajkd.org).
関連するトピック
