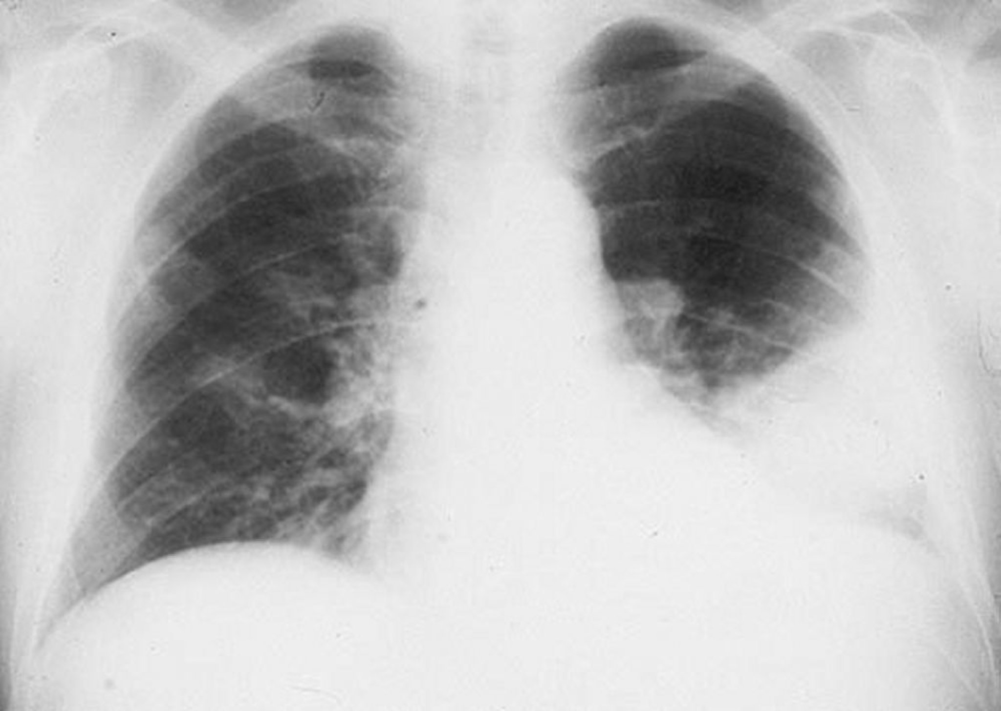
左下葉の浸潤影
細菌性肺炎の男性における左下葉の肺胞浸潤影。
By permission of the publisher.From Roberts R. In Atlas of Infectious Diseases: Pleuropulmonary and Bronchial Infections.Edited by GL Mandell (series editor) and MS Simberkoff. Philadelphia, Current Medicine, 1996.
関連するトピック
