honeypot link
skip to main content
プロフェッショナル版
家庭版
Msd マニュアル
プロフェッショナル版
医学事典
リソース
コラム
診察・手技ビデオ
クイズ
MSDマニュアルについて
医学事典
リソース
<
画像
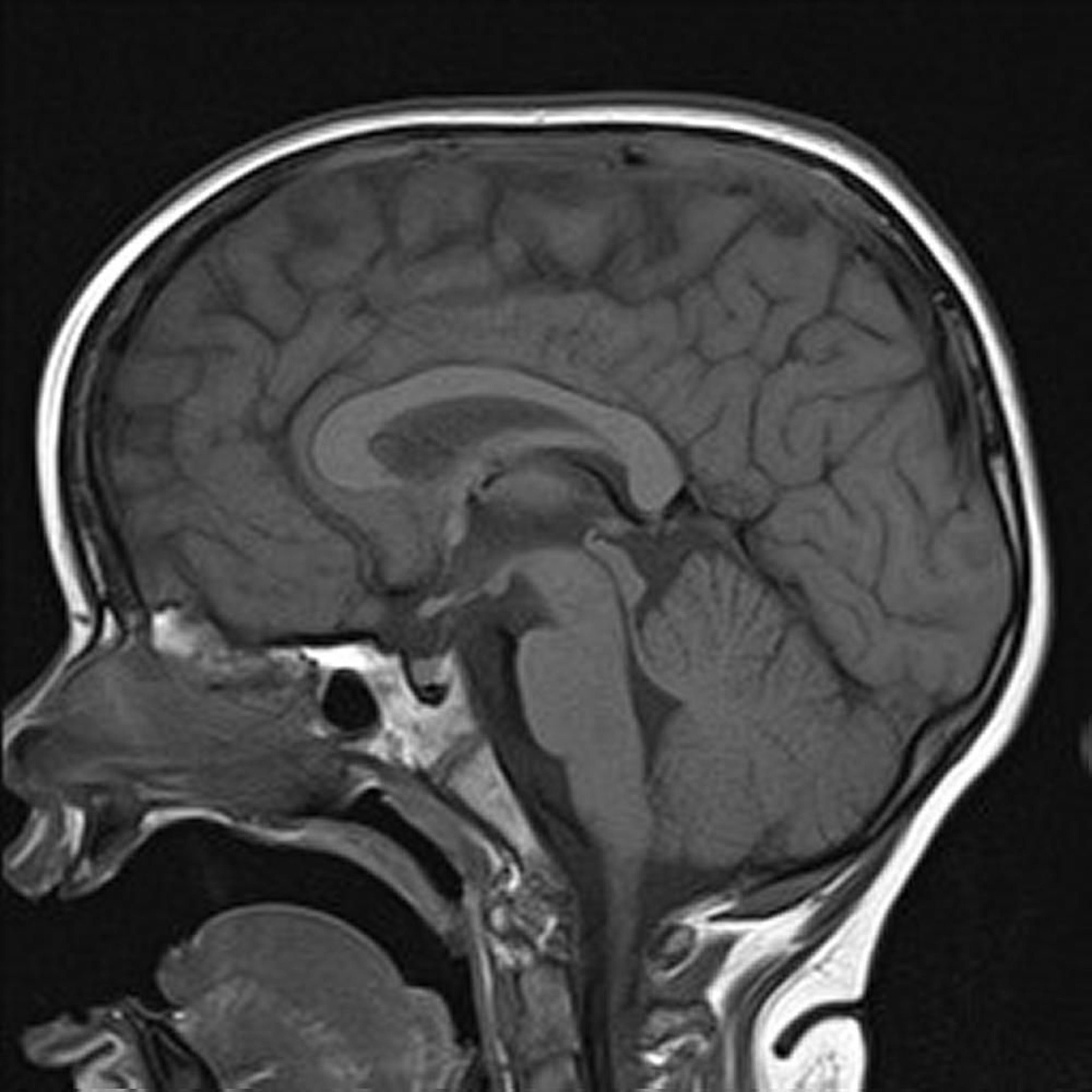
MRIのT1強調画像
この脳のT1強調矢状断像には,正常な正中線の構造が示されている。
Image courtesy of Hakan Ilaslan, MD.
関連するトピック
MRI
>