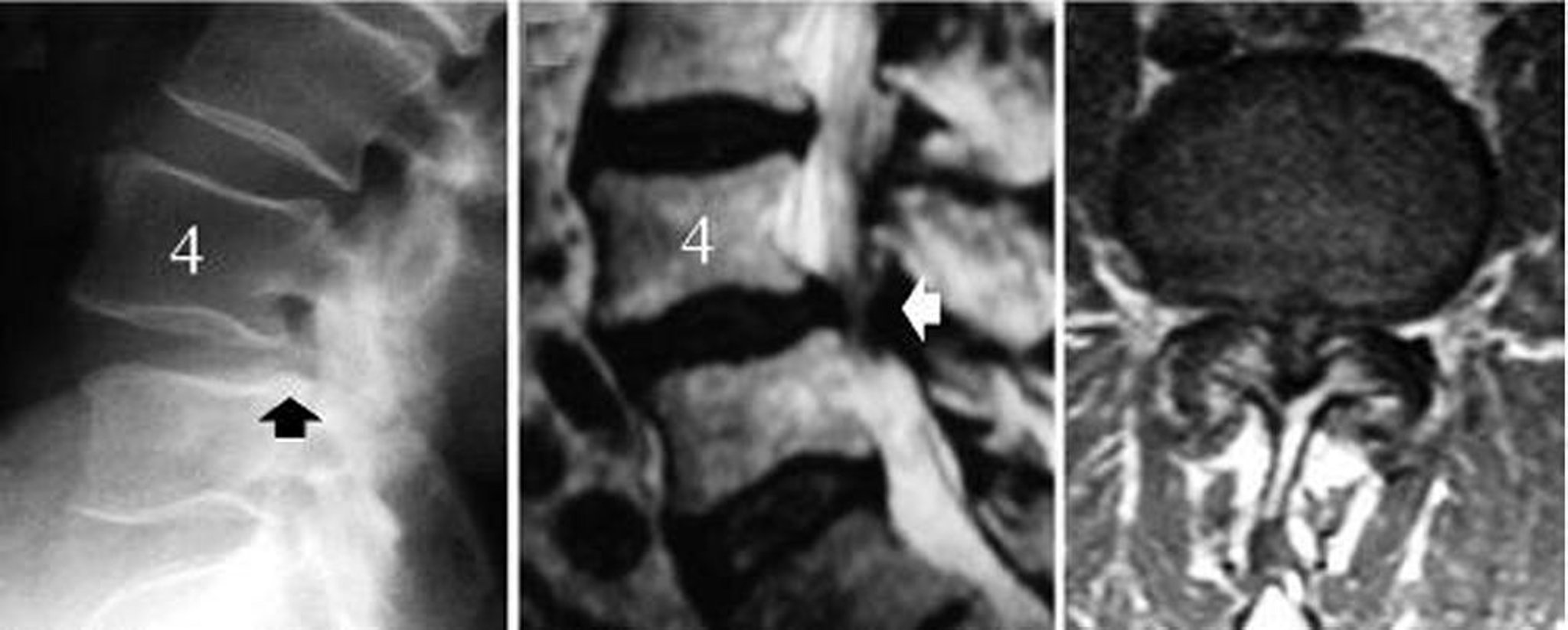
L4-L5の脊椎変性すべり症に起因する腰部脊柱管狭窄症
左の画像はL4のすべりを示す腰椎のX線側面像である(黒矢印,L5椎体の後縁とL4の後縁がずれている)。中央の画像は神経構造物の圧迫(白矢印)を示すMRI正中矢状断像である。右の画像は,脊椎変性すべり症のL4-5のレベルにみられる重度の脊柱管狭窄症を示したMRI水平断像である。
© Springer Science+Business Media
関連するトピック
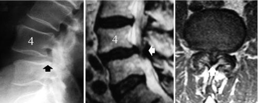
左の画像はL4のすべりを示す腰椎のX線側面像である(黒矢印,L5椎体の後縁とL4の後縁がずれている)。中央の画像は神経構造物の圧迫(白矢印)を示すMRI正中矢状断像である。右の画像は,脊椎変性すべり症のL4-5のレベルにみられる重度の脊柱管狭窄症を示したMRI水平断像である。
© Springer Science+Business Media