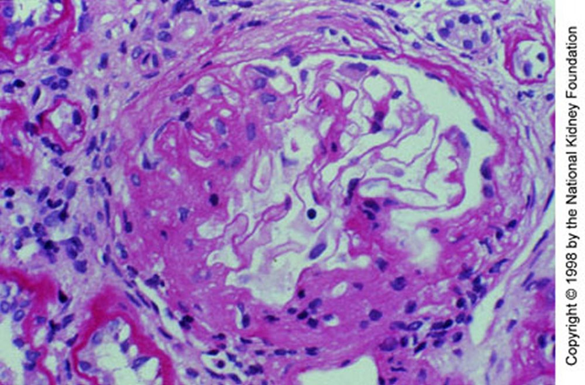
IgA腎症(メサンギウム領域の拡大)
分節性硬化を伴うメサンギウム領域の拡大(PAS染色,200倍)。
Image provided by Agnes Fogo, MD, and the American Journal of Kidney Diseases' Atlas of Renal Pathology (see www.ajkd.org).
関連するトピック
分節性硬化を伴うメサンギウム領域の拡大(PAS染色,200倍)。
Image provided by Agnes Fogo, MD, and the American Journal of Kidney Diseases' Atlas of Renal Pathology (see www.ajkd.org).