HIV関連腎症(虚脱型糸球体症)
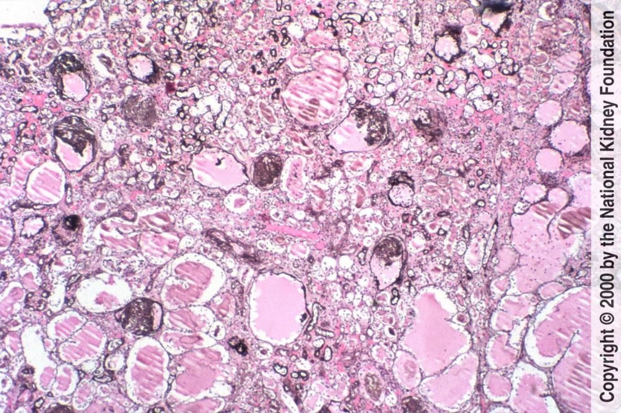
HIV関連腎症の特徴は,糸球体係蹄の虚脱および尿細管の小嚢胞性変化を伴う巣状分節性糸球体硬化症である(PAM染色,100倍)。
Image provided by Agnes Fogo, MD, and the American Journal of Kidney Diseases' Atlas of Renal Pathology (see www.ajkd.org).
関連するトピック
HIV関連腎症の特徴は,糸球体係蹄の虚脱および尿細管の小嚢胞性変化を伴う巣状分節性糸球体硬化症である(PAM染色,100倍)。
Image provided by Agnes Fogo, MD, and the American Journal of Kidney Diseases' Atlas of Renal Pathology (see www.ajkd.org).