Acute necrotizing collection
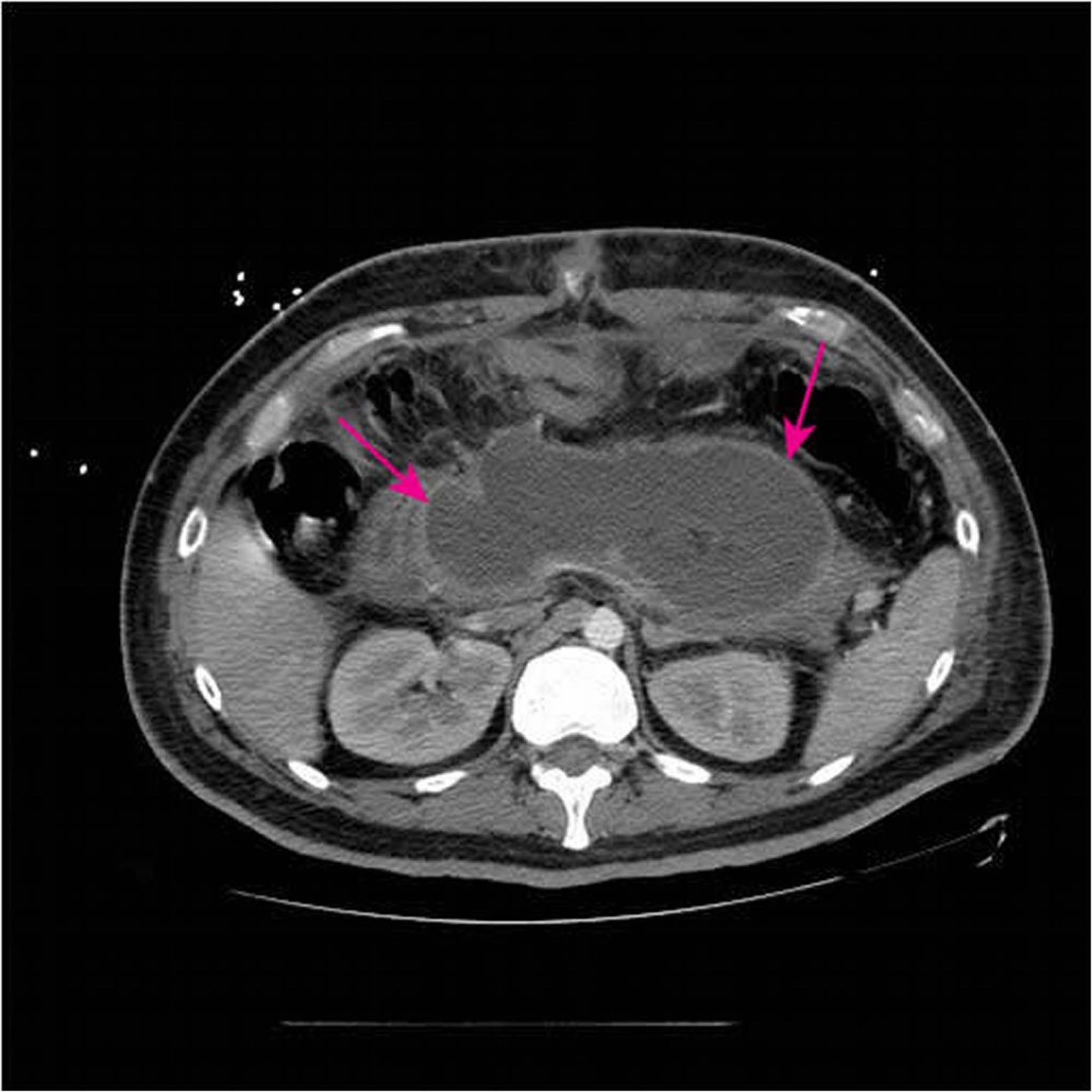
静注および経口造影剤を使用したこのCT像では,壊死性膵炎の発症後4週間未満で膵組織の大部分が大きなacute necrotizing collection(矢印)に置換されたことが示されている。
Image courtesy of Sonam Rosberger, MD.
関連するトピック
静注および経口造影剤を使用したこのCT像では,壊死性膵炎の発症後4週間未満で膵組織の大部分が大きなacute necrotizing collection(矢印)に置換されたことが示されている。
Image courtesy of Sonam Rosberger, MD.