honeypot link
skip to main content
プロフェッショナル版
家庭版
Msd マニュアル
プロフェッショナル版
医学事典
リソース
コラム
診察・手技ビデオ
クイズ
MSDマニュアルについて
医学事典
リソース
<
画像
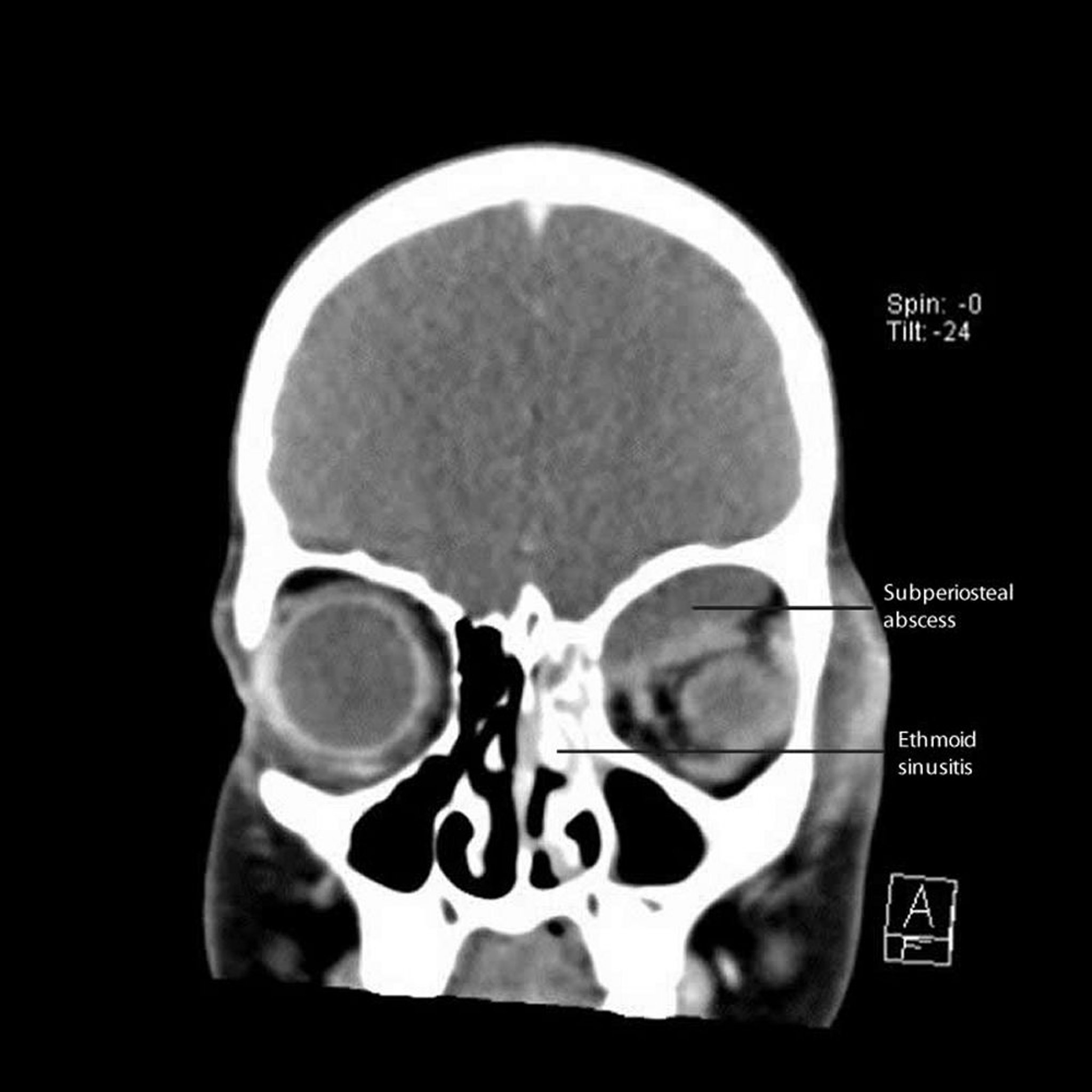
骨膜下膿瘍を伴う篩骨洞炎
このCT画像には,眼窩の内側壁および上壁に沿って生じ,近傍に骨膜下膿瘍を伴った左側の篩骨洞炎が写っている。
CT courtesy of James Garrity, MD.
関連するトピック
眼窩隔膜前蜂窩織炎および眼窩蜂窩織炎
>