honeypot link
skip to main content
プロフェッショナル版
家庭版
Msd マニュアル
プロフェッショナル版
医学事典
リソース
コラム
診察・手技ビデオ
クイズ
MSDマニュアルについて
医学事典
リソース
<
画像
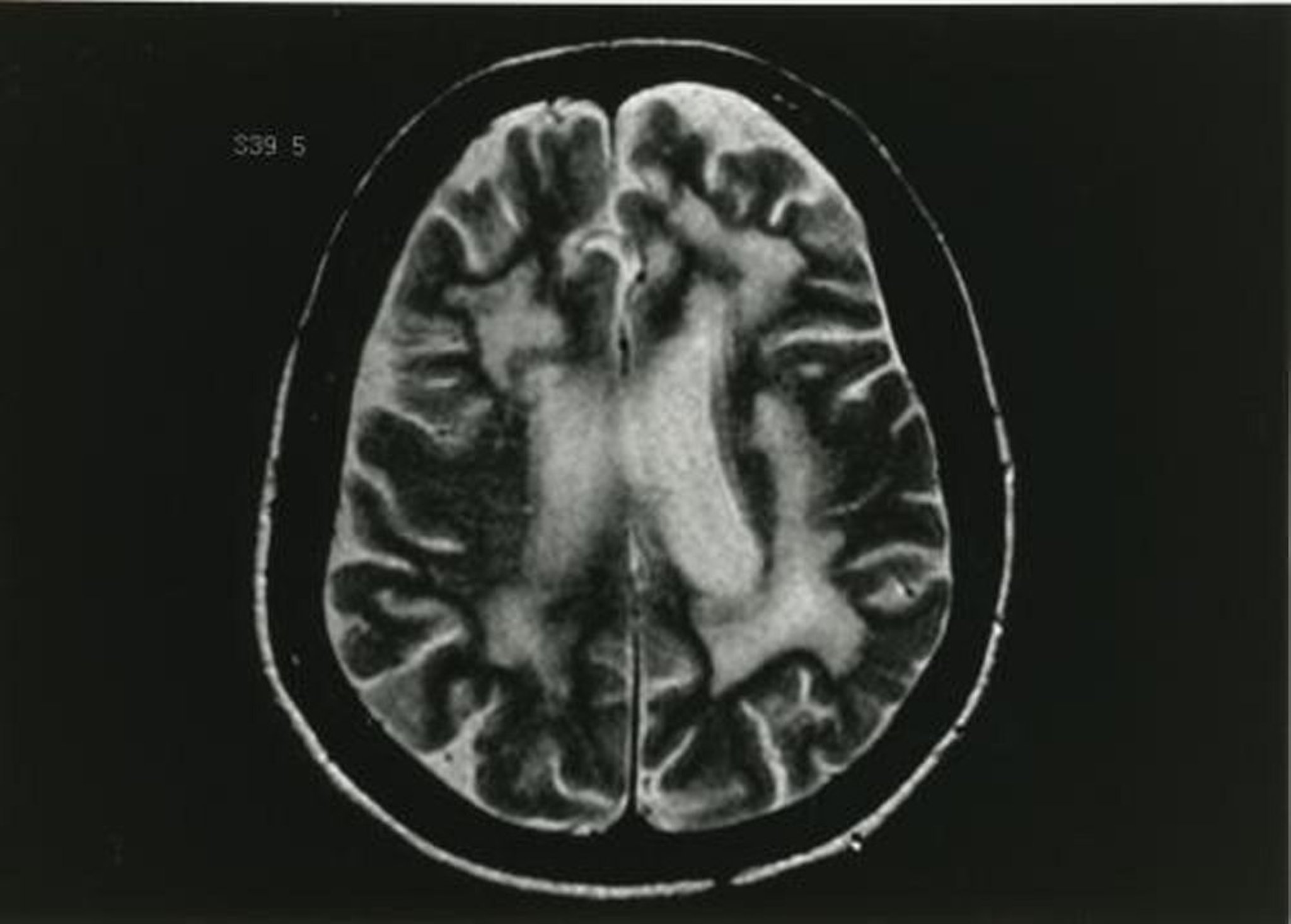
進行性多巣性白質脳症
このMRI T2強調像には,多発性の白質病変が示されている。
Image provided by John E.Greenlee, MD.
関連するトピック
進行性多巣性白質脳症 (PML)
>