honeypot link
skip to main content
プロフェッショナル版
家庭版
Msd マニュアル
プロフェッショナル版
医学事典
リソース
コラム
診察・手技ビデオ
クイズ
MSDマニュアルについて
医学事典
リソース
<
画像
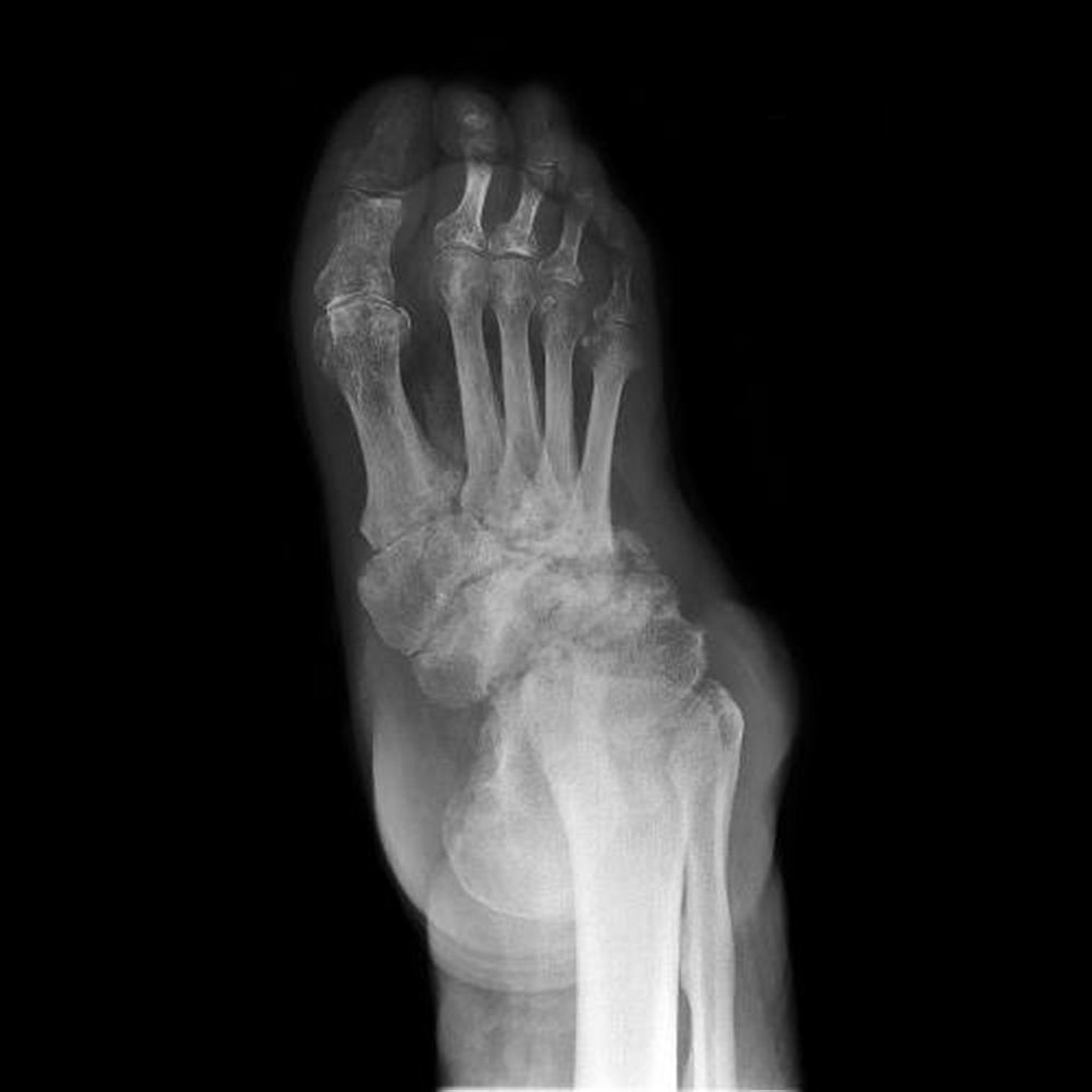
足の神経病性関節症
このX線写真には,足の神経病性関節症(別名シャルコー足)が認められる。足根骨の破壊,変形,および関節裂隙狭小化が広範囲にみられる。
SCIENCE PHOTO LIBRARY
関連するトピック
神経病性関節症
>