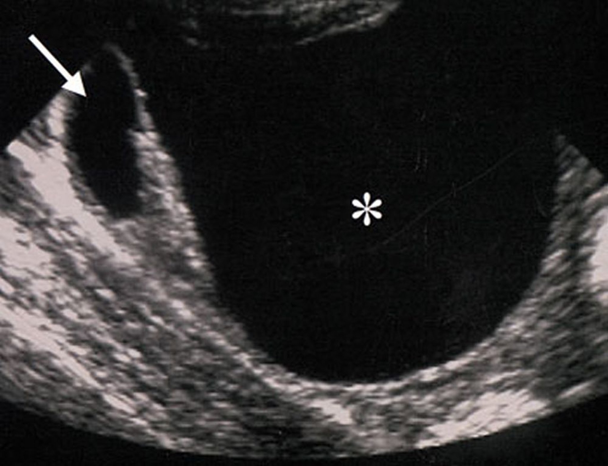
良性卵巣腫瘤の超音波所見
この卵巣腫瘤の超音波上の特徴(アスタリスクで示す)は,腫瘤が良性であることを示唆している。腫瘤は無エコー性(充実性成分が存在しないことを示す),整,境界明瞭で,壁の肥厚や突出物を伴わない。
By permission of the publisher.From Hricak H, Coakley F, Bergman A.In Atlas of Cancer.Edited by M Markman, RR Barakat, and WJ Hoskins.Philadelphia, Current Medicine, 2002.
関連するトピック
